▎药明康德内容团队编辑
发烧、咳嗽有痰是出现气管炎、支气管炎以及肺炎的常见症状,通常由细菌或病毒感染所致,但还有一小部分人群是由感染了衣原体所致。生活中可能就潜伏着一种“人畜共患病”的衣原体感染。
近期,一项发表在《英国医学杂志》(The BMJ)的病例,就讲述了一位老年男性因为接触了受感染的鸡,而感染了鹦鹉热衣原体患病的诊疗过程。经治疗后,目前患者的所有症状都已消退。
该病例的通讯作者和第一作者都来自中南大学湘雅医院老年医学神经内科,分别是周亚芳教授和谢妮娜主治医师。

截图来源:The BMJ
主诉
患者男,60余岁,因发热、头痛、咳嗽、心神不宁和嗜睡10天就诊。
现病史
两周前,患者在农场里打理鸡毛,因为这些鸡一直出现发烧、脱毛、体重减轻的情况。几天后患者开始出现发热、头痛、咳嗽、嗜睡等症状。头痛反复发作,发作时有搏动性、疼痛难以忍受且无固定部位。咳嗽多为干咳,偶有橙褐色痰咳出。患者发病时曾用哌拉西林-他唑巴坦(piperacillin-tazobactam)治疗三天,效果甚微,遂转诊至老年病科。
入院期间,患者出现血压一过性下降,降至87/50 mmHg,用1000毫升生理盐水治疗后恢复到正常水平;其肺炎curb-65评分为1分,表明患者的死亡风险较低,无需使用机械通气或服用血管加压药。
肺炎curb-65评分主要用于病情评估,其临床指标有五项,包括意识障碍、血尿素氮水平、呼吸频率、血压、年龄≥65岁。如果患者的curb-65评分≥3分,提示为重症肺炎;随着curb-65评分的增高,患者的死亡率也相应的提高。
既往史
患者既往体健,在过去40年中,每月吸烟约50支,每日饮酒约0.5个单位。患者自述近期未到其他发热相关疾病流行地区旅行。
入院后检查
体格检查
体温40.3摄氏度,心率115次/分,呼吸22次/分,血压124/72 mmHg,吸氧(2 L/min),血氧饱和度在93%~96%不等。听诊右肺啰音明显,无脑膜刺激征。
实验室检查
血液检查结果如下表所示:嗜中性粒细胞百分比、C反应蛋白、谷丙转氨酶、天冬氨酸转氨酶水平都偏高。白细胞和血小板计数保持在正常范围内。

▲血液检查结果(图片来源:参考资料[1])
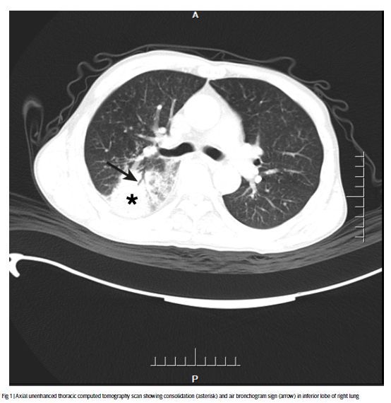
肺部计算机断层扫描(CT)结果如下图所示,显示右下肺肺叶实变。颅脑磁共振、脑脊液分析等其他检测结果均正常。

▲胸部ct轴位平扫显示右肺下叶实变(星号)和支气管充气征(箭头)(图片来源:参考资料[1])
病原体检查显示感染了鹦鹉热支原体;支气管肺泡灌洗液(BALF)检查和血清抗体检测均显示鹦鹉热衣原体阳性。
诊断
鹦鹉热
患者出现肺叶实变、体温40.3℃、心率相对较低,还接触过不健康的鸡,最可能的诊断是鹦鹉热。
确诊疾病可进行鹦鹉热衣原体聚合酶链反应(PCR)检测;如进行痰或支气管肺泡灌洗液(BALF)等临床样本检查,鹦鹉热DNA具有特征性;对于抗原检测,首选微量免疫荧光法。
鹦鹉热又叫“鸟疫/鸟热”,是一种人畜共患传染病,病原体是鹦鹉热衣原体。病原体主要宿主在很多鸟类/禽类中,包括鹦鹉、金丝雀、鸽子、火鸡、鸡、鸵鸟、企鹅、鹅和鸭等。衣原体主要从鸟类的粪便和呼吸道分泌物中排出,干燥后附着在羽毛、粉尘中,我们在宠物店或农场等地方吸入了这些带病原体的颗粒或气溶胶后就可能感染,也可经破损皮肤、黏膜或眼结膜感染。人与人之间传播较罕见。
鹦鹉热约占社区获得性肺炎中的1%,疾病的严重程度从无症状到多系统损害不等。接触了受感染的禽类后,患者通常会出现发热、严重头痛和干咳。在严重的病例中,患者还可能出现肝炎、少尿、败血症、心内膜炎、葡萄膜炎、脑膜炎和急性呼吸窘迫综合征等。CT表现无特异性,可能包括单叶或多叶实变、渗出、磨玻璃影、游走性浸润和胸腔积液。

图片来源:123RF
鉴别诊断
CT扫描显示肺叶实变和空气支气管征,可由感染、恶性肿瘤、支气管阻塞和出血引起。高热和C反应蛋白水平升高支持感染;干咳、白细胞计数正常、肺外特征(剧烈头痛和转氨酶水平升高)、对哌拉西林-他唑巴坦反应差,提示非典型肺炎。
导致社区获得性肺炎的非典型病原体包括鹦鹉热衣原体、贝纳柯克斯体(Coxiella burnetii)、肺炎支原体(Mycoplasma pneumoniae)、肺炎衣原体和嗜肺军团菌(Legionella pneumophila)。此外,甲型流感病毒的亚型也可累及成人和动物。虽然大叶实变在病毒性肺炎中并不常见,但鉴于患者既往接触鸡,不能排除禽流感。
这名患者的鼻咽拭子和血清免疫球蛋白M抗体检查(包括H1N1、H5N1、H7N9和SARS-CoV-2)、尿液嗜肺军团菌抗原检查均为阴性;血液、痰液或尿培养均未检出细菌或真菌。故可排除上述疾病。
后期了解到,当地兽医诊断,患者接触的鸡群患有鹦鹉热传染性鼻炎。
治疗
由于是传染病,患者被安置在隔离病房。
鹦鹉热对多西环素反应良好,刚开始给予患者100毫克多西环素每日两次,配合奥司他韦75毫克每日2次治疗。然后停用奥司他韦,使用强力霉素治疗14天。
预后和随访
2天内患者的体温恢复正常,1周后所有症状消退,听诊时明显发现肺部不再有啰音。1个月后,胸部CT扫描显示实变消退。
病例学习要点
患者出现肺叶实变,且曾暴露于受感染的禽类,应考虑鹦鹉热。
延误诊断可能会导致严重的并发症。
点击文末“阅读原文/Read more”,即可访问The BMJ官网阅读完整论文。
题图来源:123RF
参考资料
[1] Xie N, Zhou Y( 2022 May). Unresolving fever, headache, cough, and negative covid-19 PCR result. BMJ. 11;377:e068645. doi: 10.1136/bmj-2021-068645. PMID: 35545266.
免责声明:药明康德内容团队专注介绍全球生物医药健康研究进展。本文仅作信息交流之目的,文中观点不代表药明康德立场,亦不代表药明康德支持或反对文中观点。本文也不是治疗方案推荐。如需获得治疗方案指导,请前往正规医院就诊。
版权说明:本文来自药明康德内容团队,欢迎个人转发至朋友圈,谢绝媒体或机构未经授权以任何形式转载至其他平台。转载授权请在「医学新视点」微信公众号留言联系。
相关知识
接触鸟和禽类注意了!出现这些症状不能耽误 | 湘雅医院团队BMJ发表病例
注意!妻子在超市买了一对鹦鹉,没想到丈夫因此住进ICU
妻子买一对鹦鹉养在阳台, 33岁男子住进ICU花掉几十万
妻子买一对鹦鹉养在阳台,33岁男子住进ICU花掉几十万
宠物鹦鹉让他染“鹦鹉热”住进ICU 买宠物要去正规市场
养宠物鸟的注意了!出现发热乏力可能是得了这种病
在超市买了一对鹦鹉,没想到却因此住进了ICU
他在超市买了一对鹦鹉,却因此住进ICU!新会人引以为鉴!
妻子超市买鹦鹉养在阳台 长沙男子感染“鹦鹉热”住进ICU
妻子买鹦鹉养在阳台 男子感染“鹦鹉热”住进ICU
网址: 接触鸟和禽类注意了!出现这些症状不能耽误 | 湘雅医院团队BMJ发表病例 https://m.mcbbbk.com/newsview122951.html
| 上一篇: 总结鸟类的皮肤特点与常见皮肤疾病 |
下一篇: 鸟类健康三要素 |