犬细小病毒感染(canine parvovirus infection)是由犬细小病毒(Canine parvovirus, CPV)感染引起的,以严重肠炎综合征和心肌炎综合征为特征的犬科和鼬科动物的重要传染病。
本病可发生于世界各地,幼犬发病率和死亡率很高。
本病于1978年同时在澳大利亚和加拿大证实以来,已在世界很多地区相继发现。
我国于1982年证实此病之后,在东北、华东和西南等地区的警犬和良种犬中陆续发生和蔓延。
CPV属于细小病毒科(Parvoviridae)细小病毒属(Parvovirus)。病毒粒子呈圆形,直径20~24nm,呈二十面体对称,无囊膜,由32个壳粒组成。
犬细小病毒形态3D示意图
资源描述:CPV属于细小病毒科(Parvoviridae)细小病毒属(Parvovirus)。病毒粒子呈圆形,直径20~24nm,呈二十面体对称,无囊膜,由32个壳粒组成。
文件来源:http://www.petinsurance.com/healthzone/pet-articles/pet-health/Parvovirus-and-Dogs.aspx
基因组为单股线状DNA,在DNA两端各有一个发夹样的回纹结构。DNA编码病毒有3种结构多肽(VP1,VP2,VP3),其中VP2是病毒的主要结构成分。
CPV对外界理化因素抵抗力非常强,这与其化学组成和结构特点有关,如病毒无囊膜,不含脂类和糖类,结构坚实紧密等。粪便中的病毒可存活数月至数年,4~10℃可存活半年以上。
病毒对乙醚、氯仿、醇类和去氧胆酸盐有抵抗力,但对紫外线、福尔马林、β-丙内酯、次氯酸钠、氨水和氧化剂等消毒剂敏感。
CPV具有较强血凝活性,在4℃,pH6.0~7.2条件下可牢固地凝集猪和猴的红细胞。
CPV可在多种不同类型的细胞内增殖,如在猫和犬的肾、肺、肠原代和传代细胞内能很好地生长,也可在犬的胸腺细胞、水貂肺细胞、浣熊的唾液腺细胞以及牛胎儿脾细胞中增殖和传代。猫肾细胞系F81是较常用的细胞之细胞病变在接种后3~4d出现,包括细胞变长、崩解破碎和脱落等。
有时出现核内包涵体。
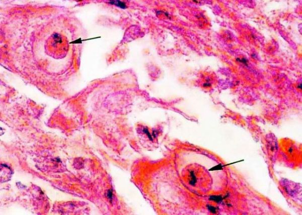
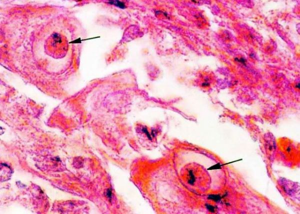
肠黏膜上皮细胞内的核内包涵体
资源描述:犬细小病毒病组织学变化为后段空肠、回肠黏膜上皮变性、坏死、脱落,有些变性或完整的上皮细胞内含有核内包涵体(箭头所指)。
文件来源:周庆国,犬猫疾病诊治彩色图谱
病毒复制时必需依赖于宿主细胞的某些功能,只能在细胞分裂最旺盛的DNA合成期以前接种病毒才能发生有效感染(这也许是CPV对分裂旺盛的心肌细胞、小肠上皮细胞以及骨髓干细胞最具亲和力的原因)。
在进行病毒初次分离时,细胞被轻度染毒,病变不明显,可以继续传代(带毒传代)。为了获得较好的分离培养效果,还可于细胞分裂的同时接种病毒(同步接毒)。
CPV主要感染犬,也可见于貂、狐、狼等其他犬科动物和鼬科动物。各种年龄、性别和品种的犬均易感。但纯种犬和2~4月龄幼犬易感性较高,病死率也最高。
本病一年四季均可发生,以冬、春季多发。饲养管理条件骤变、长途运输、寒冷、拥挤等均可促使本病发生。
病犬为主要传染源,早期可通过粪便向外界排毒,病毒粒子散在,传染性最强。后期由于肠黏膜分泌的IgA和随出血进入肠道中的血液IgM特异性抗体的增多,病毒被凝集在一起,感染性降低。康复犬仍可长期通过粪便排毒。
犬细小病毒的传播方式
资源描述:病犬为主要传染源,早期可通过粪便向外界排毒,病毒粒子散在,传染性最强。后期感染性降低。康复犬仍可长期通过粪便排毒。健康犬主要通过饮水等经消化道感染病毒。
文件来源:https://www.infurmation.co.za/articles/canine-parvovirus/
健康犬主要通过饮水等经消化道感染病毒。因此,对病犬污染的饲具、用具、运输工具和饲养人员等进行严格消毒是防止本病传播的主要措施。
潜伏期为7~14d。
多数呈现肠炎综合征,少数呈现心肌炎综合征。
肠炎病犬表现为经1~2d的厌食、软便,间或体温升高之后,迅速发展成为频繁呕吐和剧烈腹泻,排出恶臭的酱油样或番茄汁样血便,并迅速出现眼球下陷、皮肤失去弹性等脱水症状,很快呈现耳鼻发凉、末梢循环障碍、精神高度沉郁等休克状态。
番茄汁样血便排出后颜色变深
资源描述:犬细小病毒病患病犬,频繁呕吐和剧烈腹泻,排出恶臭的番茄汁样血便。番茄汁样血便排出后颜色变深。
文件来源:周庆国,犬猫疾病诊治彩色图谱
血液检查可见红细胞压积增加,白细胞减少。
常在3~4d内昏迷而死。
呈心肌炎综合征的病犬多见于流行初期,或缺少母源抗体的4~6周龄幼犬。
常突发无先兆的心力衰竭,或在肠炎康复之后,突发充血性心力衰竭。表现为呻吟、干咳,黏膜发绀,呼吸极度困难。心有杂音,心跳加快,常在数小时内死亡。
剖检可见眼球下陷、腹部蜷缩,极度消瘦、脱水及肛门周围附有血样稀便。
血液黏稠暗紫,严重时肠管外观紫红。肠系膜血管呈树枝状充血,淋巴结出血水肿,切面呈大理石样。
空肠、回肠的出血性炎症
资源描述:对犬细小病毒病死亡患犬剖检,肠管外观紫红。犬细小病毒病的病变主要以空肠、回肠的出血性炎症为主。
文件来源:周庆国,犬猫疾病诊治彩色图谱
小肠黏膜出血、坏死,甚至脱落,内容物呈酱油样或果酱样。
小肠黏膜出血性炎症
资源描述:对犬细小病毒病死亡患犬剖检,病变主要以空肠、回肠的出血性炎症为主。小肠黏膜出血、坏死,甚至脱落,内容物呈酱油样或果酱样。
文件来源:周庆国,犬猫疾病诊治彩色图谱
胸腺可见萎缩、水肿,肝、脾仅见淤血变化。
死于心肌炎综合征的尸体,则见肺脏局部充血、出血及水肿,心肌红黄相间呈虎斑状,有时有灶状出血。
组织学检查,肠炎综合征型的最突出变化是小肠隐窝上皮坏死脱落,固有层见有充血、出血和炎性细胞浸润。淋巴组织严重坏死、衰竭,上皮细胞中有时可发现包涵体。
肠黏膜上皮细胞内的核内包涵体
资源描述:犬细小病毒病组织学变化为后段空肠、回肠黏膜上皮变性、坏死、脱落,有些变性或完整的上皮细胞内含有核内包涵体(箭头所指)。
文件来源:周庆国,犬猫疾病诊治彩色图谱
胸腺间质水肿,皮质细胞减少,胸腺小体发生玻璃样变。
心肌炎综合征型的组织学特征则为心肌纤维的弥漫性淋巴细胞浸润,间质水肿与局限性心肌变性,呈典型的非化脓性心肌炎变化,在病变的心肌细胞中有时可发现包涵体和CPV粒子。
在犬场中,离乳不久的仔犬几乎同时发生呕吐、腹泻、脱水等肠炎综合征,而且排出的稀粪恶臭带血,死亡率很高,就应怀疑为CPV感染。
Tips由于肠炎型犬瘟热、犬冠状病毒、轮状病毒感染,以及某些细菌、寄生虫感染和急性胰腺炎,也常呈现肠炎综合征,所以诊断时一定要注意鉴别。犬细小病毒病的诊断方法主要有:
血凝与血凝抑制试验
电镜与免疫电镜观察
病毒分离鉴定
酶联免疫吸附试验
快速诊断试剂盒/试纸(临床最常用)
此法最为简便、经济、适用,既可迅速检出粪便提取物和细胞培养物中的CPV抗原,也可很快检出血清和粪液中存在的CPV抗体。
血凝与血凝抑制试验方法用0.015mol/L,pH7.0的PBS将经氯仿处理的粪便提取物或细胞培养液,在V型微量血凝板上作2倍连续稀释,加新鲜或醛化的猪或猴红细胞悬液,于4℃静置1h后即可判定。
为检查后期粪便中出现的IgM等抗体以及被此种抗体凝集失去血凝活性的CPV抗原,夏咸柱等采用加二疏基乙醇(2-ME)处理的办法,使其得到了解决。
有条件的单位,可直接用粪便的上清液做电镜负染检查。此法尤其适用于后期病毒被凝集成团失去血凝性的CPV感染,也可同时发现犬瘟热、犬冠状病毒、轮状病毒等其他病毒感染。
如仅发现少量散在的CPV样粒子,为区别是CPV还是无致病性的非致病性犬微小病毒MVC,可加CPV特异血清感作,进行免疫电镜观察。
对于新疫区,或为了对流行毒株进行研究比较,可采用此法。
将除菌的粪便提取物,于细胞分种的同时,接种猫肾原代或传代细胞,并采用接毒细胞传代的方法,常可迅速分离出CPV。为提高分离率,最好采用早期病毒尚未被IgM等抗体作用的病料。感染的指标以检测培养物的血凝性最为简便,也可用特异荧光抗体检查感染的细胞。
采用双抗体夹心法,应用特制的酶标反应小管、板或纤维素膜,国内外已研制出多种可供临床应用的试剂盒。国内田克恭等用CPV单克隆酶标抗体制成CPV快速诊断盒,可在2h内检出粪样中的CPV抗原。
其他随着分子病毒学的发展,CPV的核酸探针和PCR诊断技术得以应用,国内外已有多篇成功的报道。国内研究了CPV核酸探针和PCR诊断技术,已开始试用于临床与科研。
【免费问诊】新用户免费30次在线问诊机会,扫码添加,立即开始问诊,为宠物健康提供专业解答服务。

相关知识
犬细小病毒:犬细小病毒
犬细小病毒抗原 犬细小蛋白 犬细小质控品 犬细小标准品 CPV抗原 CPV标准品
犬细小病毒病症:犬细小
犬细小病毒病毒:狗狗细小病毒是什么
拉布拉多犬的细小怎么办,拉布拉多细小是什么症状
什么是犬细小 得了细小应该怎么办
犬细小病毒感染症状
犬细小病毒感染的临床表现
犬细小如何自己治疗
犬细小病毒探秘
网址: 犬细小 https://m.mcbbbk.com/newsview1290357.html
| 上一篇: 宠物狗得了细小,应该怎么办(怎样 |
下一篇: 小狗细小 |