
P6-VET是一款高清宠物动物b超机,方便操作携带,专业兽用影像技术,可以实现妊娠检查、动物胎儿鉴定、产科疾病检查等目的。
适用于猫、狗、牛、羊、马、猪的临床腹部、胸腔、心脏肌腱、小器官、眼球、生殖系统等的检查。
P6-VET全数字彩色多普勒动物超声诊断仪
高清图像触手可及
● 基于全新的技术平台安全、稳定的Windows操作系统,固态存储数据存储更快更稳从容应对复杂计算。
● 高性能、低功耗酷睿处理芯片,保证更佳图像性能的清晰呈现。
● 高亮度、高分辨率15英寸彩色液晶显示器。
● UI界面多种选择 定制属于您的临床方案
● 净重:6.7kg; 毛重:18kg; 尺寸:370x360x75mm

P6-VET兽用B超机出色的兽用临床应用
显示屏显示角度可自由调节
● 丰富的兽用探头配置
● ≥2探头插口,全身检查应用自如
● 标配内置18650锂电池 应对各种复杂场所
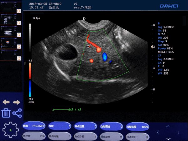
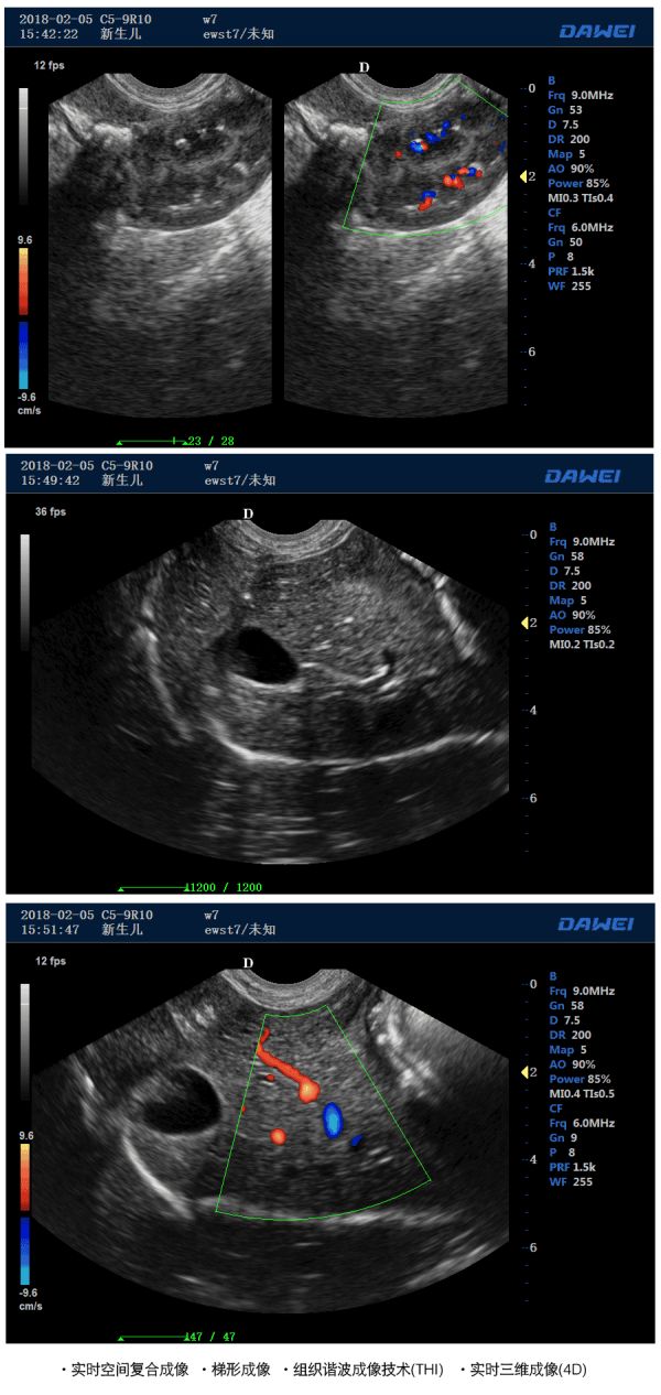
● 支持B、C、PW、CW、宽景成像
● 存储图像实时显示 多种分享方式无需等待
● 实时空间复合成像
● 梯形成像
● 组织谐波成像技术(THI)
● 实时三维成像(4D)
P6-VET兽用B超机适用对象:
牛羊马猪犬猫及多种家禽、实验动物、野生动物、及部分水生动物。
P6-VET兽用B超机适用范围
●适用于各种动物的临床腹部、胸腔,心脏肌腱、小器官、眼球、生殖系统等的检查


相关知识
SonoEye P6 VET
P6
excel中,=C6*$P$17是什麼意思
《TOEM/摄影冒险》全剧情全收集攻略
速围观!城市绿心公园里的萌宠乐园!
Integer 与 int 中的 ==
2015年版新课标教材《政治生活》
清理宠物毛发费时费力?一台吸尘器帮你轻松摆脱这甜蜜负担
https://zhiyou.smzdm.com/member/3083607793/shaiwu/p6/
P5 衣领的连接+扣子安装篇
原文链接: P6 https://m.mcbbbk.com/newsview1363549.html
| 上一篇: 动物B超机跟人用B超机对比 | 下一篇: 兽用B超仪/宠物B超操作过程中的... |