在之前的分享中,我们详细探讨了长颈鹿圣诞的修蹄经历(圣诞走路又舒服了一些~),通过物理保定手段成功完成了这一重要护理过程。修蹄前后的显著变化——圣诞左前脚远端跖骨与地面接触角度从23°优化至13°,不仅提升了其关节灵活性,还显著增强了行走的舒适度与安全性,这一案例充分展示了蹄部护理对改善动物生活质量的重要性。

蹄部健康之于有蹄类动物,就如同根基之于大树,是支撑其生存与活动能力的核心。忽视蹄甲的问题,可能会引发一系列连锁反应,从最初的行走不便到步态异常,最终可能导致严重的关节疾病,影响动物的整体福祉。因此,对动物蹄部的持续关注与专业护理是维护它们健康不可或缺的一环。
鉴于圣诞修蹄的积极成效,我们深刻认识到,修蹄要趁早,教育要从娃娃抓起,在小七两岁时就开始对其进行蹄部健康检查的行为训练。
通过日积月累的耐心训练,小七的蹄部健康检查已经变得更加顺畅和高效。
PART 01 教育要从娃娃抓起
我们的长颈鹿小七在两岁时就开始接受修蹄的行为训练,定点、跟随、抬脚、在此基础上,还需要让小七在蹄甲打磨时保持不动,才能完成一次足部护理。
得益于从小接受的正向行为训练,小七的训练进度飞速,修蹄的过程也相对轻松加愉快,仅需饲养员和专业的修蹄师两人协作,一人引导和稳定小七,另一人则专注地进行蹄部的修剪与打磨。

首先,我们用消防水龙带制作了特别的安全隔离,一方面用来作为小七的定位标识,又避免了硬物与小七的直接接触;下面放一个苜蓿草砖和小枕头作为修蹄垫,为小七的腿部提供柔软的支撑。

等小七走到指定位置后,饲养员发出抬腿的指令,小七按照饲养员要求把蹄抬起来,踏到下面的苜蓿草砖上,整个修蹄过程便正式进入了核心阶段。

此时,修蹄师傅迅速而仔细地对小七的蹄部进行全面的观察与评估,比如蹄甲是否有过长、裂纹或是感染的风险,师傅们会根据检查到的情况进行对应的处理。

针对小七的具体情况,小七的右前蹄左右蹄甲不对称,右蹄甲有轻微变形,导致蹄甲缝变小。我们首先是使用锉刀沿着蹄甲缝进行精细的打磨,拓宽缝隙,让小七在行走时压力分布更加均匀,从而减少潜在的伤害风险。

接下来,通过训练中建立的信任与默契,引导小七将蹄子窝起,底部朝上。

修蹄前

修蹄后
长颈鹿的蹄底这一区域往往容易积累泥沙和水分,是监测蹄部健康状况的关键部位。通过仔细检查蹄底,可以发现是否有创伤、异物或是真菌感染等问题,必要时使用刮刀清理干净,保持蹄底的干燥和卫生,进一步巩固长颈鹿的整体健康。

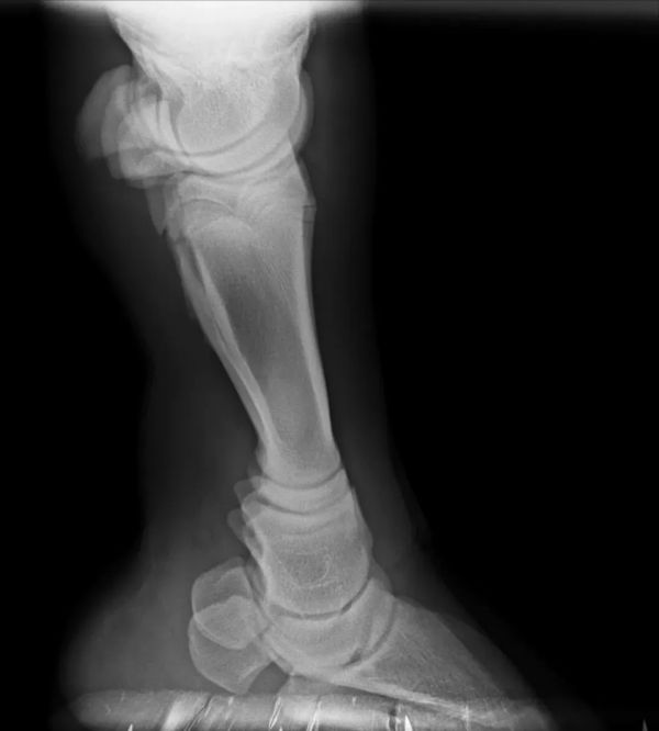
小七的蹄部X光
通过这样的修整,小七的蹄部将能够更好地适应地面,不仅在行走时更加舒适,还能促进蹄甲的自然磨损,保持其健康和功能性。

通过这种细水长流式的日常维护策略,着眼于长远,为小七未来的行走福祉打下坚实的基础,也是对国际长颈鹿日宗旨的生动实践——通过日常的关怀与科学管理,提升公众对长颈鹿独特需求和保护的认知。
PART 02 当“最长”遇上了“最高”
6月21日夏至,是北半球白昼最长的日子,其实,这一天也被赋予了另一重重要意义——世界长颈鹿日(World Giraffe Day),这个节日由长颈鹿保护基金会首次创立,旨在提高人们的支持和认识,并揭示长颈鹿在野外面临的挑战。
根据GCF的数据,野生长颈鹿只剩下大约11.7万只,这意味着它们正接近高风险状态。

在世界自然保护联盟濒危物种红色名录中,长颈鹿最近被列为“易灭绝物种”——仅在过去的三十年里,长颈鹿在非洲的数量就急剧下降了约40%。

长颈鹿数量的减少,在很大程度上是由于人类居住区的增加以及栖息地的丧失。如果长颈鹿在野外灭绝,那将是一个悲剧。它们有长长的脖子和漂亮的斑纹,在动物王国里是独一无二的。长颈鹿是世界上最高的动物,每只长颈鹿身上的斑纹都不一样,就像两个人的指纹不可能完全一样。

有超过7个非洲国家正式宣布长颈鹿灭绝,这凸显了保护长颈鹿的重要性

生物多样性的守护从来都不是孤立的战斗,而是跨学科、跨领域协作的结晶。每一种生命的保护工作,都是对集体智慧与合作精神的呼唤,提醒我们:自然保护之路,任重而道远,需众人拾柴方能火焰高。

在此背景下,长颈鹿——这些大地上的优雅巨擘,更不应成为沉默中消逝的风景。它们的存在,不仅是自然界奇观的象征,更是生态系统平衡不可或缺的一部分。

我们呼吁:请不要让长颈鹿从我们身边悄悄消失。我们是时候行动起来了,去关注、去保护,以实际行动践行对长颈鹿的关爱与保护,让每一分关注化作温暖的阳光,照亮它们的未来之路。
