
心超需要改变体位进行扫查,
即左侧卧和右侧卧!
那我们今天就按体位给大家介绍啦!
右侧卧位

动物右侧卧于检查台上
四肢朝向操作者
双前肢平行向头背侧拉伸开,
后肢放松,保持身体平行,
胸部剃毛区域放置镂空上方
右侧胸骨旁长轴观
1
长轴4腔观
扫查方法
手持探头,光标指向动物头侧肩关节位置,上抬探头尾,与身体成45°角,将探头放置于心搏动区,通常第4、5肋间


如图所示,LA左心房LV左心室RA右心房RV右心室
图像要求
心脏平行位于图像中间
室间隔平直
找到左心室腔最长且最宽的位置
二尖瓣前叶、后叶清晰
心尖位置图像清晰
2
长轴5腔观
扫查方法
由右侧胸骨旁长轴4腔观的探头放置位置,逆时针旋转探头约15°并将探头尾上抬


如图所示:LA左心房,LV左心室,Ao主动脉
图像要求
平直的室间隔
左室腔最长且最宽位置
可以看到二尖瓣瓣叶
可以看到主动脉瓣叶及闭合时形成的高回声亮线
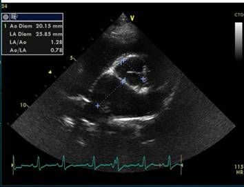
右侧胸骨旁短轴观
1
肺动脉干水平
扫查方法
右侧胸骨旁长轴4腔观探头放置位置,逆时针旋转90°,向心基部平移探头。


如图所示:TV三尖瓣、RA右心房、RV右心室、RVOT右心室流出道、PT肺动脉干、PV肺动脉瓣以及圆形的A主动脉
2
主动脉根部水平LA/AO
扫查方法
由肺动脉干水平,轻微后移,并抬高探头尾,探头光标指向位置不变


如图所示,RA右心房,LA左心房,LAA左心耳,RV右心室,PV肺动脉瓣,PT肺动脉干
图像要求
LA左心房、LAA左心耳呈现“鲸鱼征”
主动脉及三个主动脉瓣叶呈现“奔驰征”
右室流出道及肺动脉
3
瓣环水平
扫查方法
由主动脉根部水平,将探头向心尖部平移,探头光标指向位置不变


如图所示,RVW右心室游离壁、RV右心室、IVS室间隔、LVOT左心室流出道AML二尖瓣前叶,PML二尖瓣后叶,MV二尖瓣、LVW左室游离壁
图像要求
可见二尖瓣
两个乳头肌对称
4
乳头肌水平
扫查方法
由二尖瓣水平,将探头向心尖部平移,探头光标指向位置不变


如图所示,RVW右心室游离壁、RV右心室、IVS室间隔、PM乳头肌、LVW左心室游离壁
图像要求
两个对称的乳头肌影像
左侧卧位

动物左侧卧于检查台
四肢平行朝向操作者
双前肢平行像头背侧拉伸开
后肢放松
保持身体平行
左侧心尖观
1
心尖4腔观
扫查方法
手持探头,光标指向动物后肢,上抬探头尾,与身体成45°角,放置于心尖位置


如图所示,屏幕左侧的R右心,屏幕右侧的左心,近场的心室与远场的心房
图像要求
心尖位于图像正中间
最大程度暴露左心室
心脏垂直于图像中
二尖瓣影像清晰
心尖影像可见
2
心尖5腔观
扫查位置
由心尖四腔观逆时针旋转探头,适当抬起探头尾,使主动脉流出道显像


如图所示,可见LA左心房、MV二尖瓣、LV左心室、Ao主动脉及部分右心影像。
图像要求
心尖位于图像正上方
左侧胸骨旁长轴观
1
主动脉观
扫查方法
手持探头,使光标指向肩关节,与胸壁平行,探头放置腋下 ,适当调整


如图所示,Ao主动脉从左到右穿过图像,可见Ao主动脉、RC右冠瓣、NC无冠瓣及RA右心房影像。
2
右心耳观
扫查方式由左侧胸骨旁长轴主动脉观,轻压探头尾,使探头与胸壁成角变大


如图所示,RA右心房及RAA右心耳
左侧胸骨旁短轴观
1
右心室流入道观(三尖瓣观)
扫查方法
手持探头,使光标指向动物脊柱,与胸壁成45°角,探头放置腋下


如图所示,可见Ao主动脉呈圆形,LA右心房、LV右心室及TV三尖瓣
2
肺动脉干观
扫查方法
手持探头,使光标指向动物脊柱,与胸壁成45°角,探头放置腋下,适当向尾侧及胸骨侧移动探头


如图所示,Ao主动脉呈圆形,PV肺动脉瓣,PT肺动脉干及其分支
打好切面非常的重要!
没有标准的切面,
就无法测量出准确的数据!
没有准确的数据,
就很可能影响整个病情的判断!
因此一定要练习练习再练习!

感谢wuli赫赫作为标准模特亲情演出!
参考书籍


相关知识
心超切面(动物篇)
小动物心超右侧切面扫查+测量#兽医 #超声影像 #心脏彩超 #宠物医院 #宠物医生
小动物心脏彩超 切面教学 #兽医 #宠物医院# 宠物医生 #超声影像 #心脏彩超
小动物心超(带手法视频)10分钟扫查完毕左右两侧切面#兽医 #心脏彩超 #b超 #宠物医院 #宠物医生
猫咪心脏彩超 3分钟教你掌握猫咪心超9大切面的扫查手法和图像要点
234元心超课0元领 | 零基础学心超,快速入门不是梦
《犬猫心脏彩超诊断图谱》【价格 目录 书评 正版】
动物心脏超声的检查
动物心脏超声检查,简单易学教学
动物B超检查
网址: 心超切面(动物篇) https://m.mcbbbk.com/newsview464324.html
| 上一篇: 自然之美:白腰文鸟 |
下一篇: 白腰文鸟尼科巴亚种 |