首页 > 资讯 > 小动物科研超声,实验动物彩超机,实验鼠彩超机,实验兔彩超机,异宠专用超声设备,科研B超

小动物科研超声,实验动物彩超机,实验鼠彩超机,实验兔彩超机,异宠专用超声设备,科研B超

河南宜慧康科技有限公司

河南宜慧康科技有限公司是一家集研发、生产、销售及培训服务为一体的企业。公司由农业高校具有博士、硕士学位的专业兽医外科团队作为技术支撑,常年提供动物医院各类专业外科技术支持,赢得了国内很多动物医生的一致好评。 公司目前主要的经营产品:宜慧康宠物彩超、德国品牌(erbrich)全套动物外科手术器械、erbrich马齿磨机及牙科器械等。宜慧康宠物彩超实现了生产研发销售一体化,为了便于客户掌握超声技术,我们有专业的超声培训课程,并配备有专业的培训及售后团队。erbrich外科手术器械,已有60多年的历...

产品展示

河南宜慧康科技有限公司专业小动物彩超生产厂家

兽用彩色多普勒超声YHK-K100可用于小动物心脏、肝脏、脾脏、肾脏、胃、肠道、胰 腺、肾上腺等部位的超声扫查...

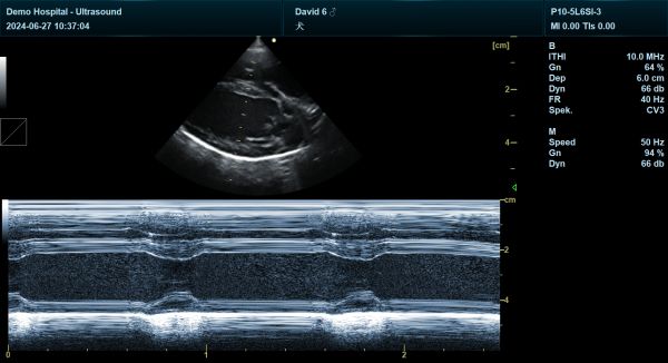
主要用于实验动物小鼠、大鼠腹部、心脏、血管的超声扫查与评估。采用超高频超声成 像技术,为研究人员提供实时、高分...

YHK-C90可以用于动物腹部、心脏、产科、小器官、血管、肌腱等方面的检查。支持的动物类型有猫、狗、牛、马、羊...

动物彩色多普勒超声诊断系统 YHK-DY30 技术参数一、设备名称:动物彩色多普勒超声诊断系统二、设备型号:Y...

YHK-C90可以用于动物腹部、心脏、产科、小器官、血管、肌腱等方面的检查。支持的动物类型有猫、狗、牛、马、羊...

设备名称:动物彩色多普勒超声诊断系统 设备型号:YHK-DY30 设备用途说明 主要用于犬、猫、小鼠、大...

我们的服务优势

宜慧康品牌实力

河南宜慧康科技有限公司最早可追溯到2008年,依托河南农业大学,"中国第一超兽"邓立新教授的研究生团队,致力于打造专业动物产品服务高端品牌,河南宜慧康一直秉持着此目标,服务于宠物行业,生产研发出符合宠物医院使用的专业超声产品,并且以低价优质,高清呈像的产品优势深受广大宠物医院认可!!!

售后服务

公司秉承着客户至上的原则,用心服务好每一位客户,我们的优势:一对一装机服务,有工程师到医院装机,并针对装机医院的实际情况,进行为期1--2天的一对一培训服务,让客户能熟练掌握超声扫查手法以及病例的诊断。并且公司会根据医院的位置制作出相符合的套餐来增加医院的流水,从而提高营业额。

线下培训课

河南宜慧康根据客户提出的诉求,专门成立一个500平的室内超声培训班,能实现理论知识+实操的全面学习,定期定点开班,一小班的形式开班,能保证来参课的每一位学院都能学到真东西,能熟练知道超声的理论以及宠物的疾病诊断,励志为宠物超声诊断行业输送专业的超声影像学专家。

新闻动态

在过去的30年中,造影剂的开发一直在进行,最初的重点是开发突出来自血管结构的超声信号的试剂。由于特定对比成像技...

高频超声波也可用于引导注射到小鼠解剖结构内的特定区域。对于关节内的注射,最近显示这比使用传统的解剖标志具有更高...

恭喜河北保定至宠中西医动物医院赵院长选择宜慧康,成功装机YHK-DY30宠物多普勒彩超机。现场装机培训,一流的...

可以在小鼠处于仰卧或俯卧位置时扫描小鼠的肾脏。可以先用电推剪脱毛,再用脱毛膏脱毛。除非使用造影剂,否则对肾脏成...

斑马鱼(斑马鱼)日益成为医学研究中的重要工具,在广泛的人类心血管疾病的研究中具有重要的应用。它的小体积和相应的...

应变和应变率成像在啮齿动物心脏成像中具有特殊的价值,提供了关于局部心肌变形的信息。大多数商业扫描仪使用散斑跟踪...

新的成像技术,例如超快成像和超快多普勒技术,使得即使从用标准多普勒技术难以定位的流速非常慢的血管中,也能够建立...

公司由农业高校具有博士、硕士学位的专业兽医外科团队作为技术支撑,常年提供动物医院各类专业外科技术支持,赢得了国...

相关知识

便携式动物彩超机 动物用携带式彩超仪 小动物超声诊断仪 宠物心脏彩超机 科研小动物彩超P6
小动物心脏b超机,动物检测仪 动物心脏彩超,宠物彩超机,动物超声诊断仪 实验动物b超机T8
小动物b超 宠物多普勒彩超 兽用动物彩超 动物实验超声设备
宠物b超仪 宠物彩超 宠物超声设备 动物彩超机
宠物b超品牌 动物超声 小动物超声成像系统 b超机宠物医院 兽用宠物彩超
便携动物彩超机 狗心脏彩超机 宠物b超设备
宠物彩超设备 宠物彩超机 宠物超声仪器 宠物多普勒彩超机
宠物B超机 台式动物b超机 推车式小动物彩超机 宠物专用b超机价格 视频
便携式猫狗b超机 狗狗b超机 动物多普勒彩超 宠物猫狗b超机 宠物彩超机厂家
宠物彩超机多少钱一台?兽用彩超机 动物超声诊断仪@新闻资讯T8

原文链接: 小动物科研超声,实验动物彩超机,实验鼠彩超机,实验兔彩超机,异宠专用超声设备,科研B超 https://m.mcbbbk.com/newsview958026.html

分类:萌宠日常
上一篇: 宠物用的B超机宠物医院用的B超机 下一篇: 大为L3