01
猫皮肤过敏的临床表现
猫过敏最常见的临床症状是面部瘙痒、自我损伤性脱毛、粟粒状皮炎、嗜酸性斑块和嗜酸性肉芽肿。
嗜酸性肉芽肿是一种边界清晰、隆起、坚硬、黄-粉色线性病变,通常位于大腿后侧(图1)。一般无症状,但偶尔可能发生溃疡,有白色点状坏死灶并且变得瘙痒。也可能位于下巴上(图2)、爪子或口腔(图3)。嗜酸性肉芽肿的原因包括跳蚤叮咬过敏、食物过敏、异位性皮炎、蚊子叮咬、昆虫过敏、基因倾向性和细菌和病毒感染(杯状病毒)。

嗜酸性斑块是非常瘙痒的边界清晰、圆形至椭圆形、发红、有渗出的溃疡性斑块,大多位于腹部和大腿内侧(图4)。所有年龄和品种的猫中都有发现,常与跳蚤过敏、异位性皮炎和食物过敏有关。偶尔会与猫粟粒状皮炎同时发生。嗜酸性斑块可能是因为猫舌头舔瘙痒区域导致慢性创伤而引起的。经常会出现继发细菌感染。
图4 腹部的嗜酸性斑块;注意病变周围自我损伤导致的脱毛
嘴唇溃疡(之前称为惰性溃疡)是边界清晰的坏死性溃疡,边缘隆起位于上嘴唇单侧或双侧(图5)。通常不疼痛,也与过敏有关。
图5 和图4中同一只猫的双侧嘴唇溃疡
粟粒状皮炎的特征是大量淡棕色痂皮,弥漫性分布在躯干上(图6)。猫经常只有轻度瘙痒。一直认为粟粒状皮炎的原因是过敏,但罕见情况下也可能由其他原因导致,包括细菌感染、皮肤癣菌病、药物反应、落叶天疱疮和外寄生虫。
图6 毛发间小糜烂性结痂病变是粟粒状皮炎的典型表现
02
自我损伤性脱毛
双侧对侧性脱毛几乎都是因为猫自舔导致的,较少是因为拔毛(图7)。最常脱毛区域是腹部、腹股沟和大腿内侧。较少情况下,脱毛可能出现在大腿外侧、体侧或前肢。虽然拔毛更多与心理性原因有关,舔毛可能由瘙痒、疼痛或应激导致。要记住不仅过敏能引起瘙痒,其他原因也可能会导致瘙痒,包括寄生虫、真
菌、细菌和/或酵母菌、免疫介导/自体免疫性
疾病和肿瘤
图7 一只猫因为食物不良反应导致的大面积自我诱导性脱毛和小的糜烂灶
03
头颈部瘙痒
猫可能会用后爪挠抓导致耳前和/或耳后皮肤、面部、下巴和颈部有严重抓痕(图8和图9)。头颈部瘙痒被认为是猫过敏的迹象,尤其是食物过敏。其他导致头颈部瘙痒和病变的较少见原因为耳螨、蠕形螨病(尤其是戈托伊
蠕形螨感染)、落叶天疱疮、皮肤癣菌病和疱疹病毒感染。
图8 一只过敏猫头部的抓痕和痂皮(头颈部瘙痒)
图9 和图8中同一只猫的面部皮肤因挠抓导致的脱毛和痂皮
04
瘙痒且有符合过敏性皮肤病变的猫的诊疗思路
对于有过敏性疾病症状的猫,诊疗思路本质上为:
排除瘙痒的寄生虫或真菌原因。
识别并治疗继发细菌和/或酵母菌感染。
完成第1和第2步后,猫仍然有过度舔毛或挠抓和/或过敏性皮炎的症状时,区分食物不良反应和环境过敏。
目前最好用广谱抗寄生虫药清除体外寄生虫,能够杀死跳蚤和螨虫,例如塞拉菌素、吡虫啉/莫昔克丁或弗雷拉纳滴剂。同时,如果病变符合皮肤癣菌病,应从病变中心和外周收集毛发做真菌培养。
皮肤细菌感染在猫中没有犬中那么常见。最近发表了一项52例猫浅表细菌性皮肤感染的病例报道(Yu和Vogelnest,2012)。有趣的是,皮肤病变累及面部和颈部的病例分别占62%和37%,且92%的猫有瘙痒。研究者总结认为大多数病例中,脓皮症都与潜在过敏性疾病有关。这项研究强调了过敏导致抓痕时检查并治疗并发脓皮症的重要性,同样也强调了猫脓皮症时检查并控制潜在过敏的重要性。
任何渗出性病变,尤其是被猫舔过的,都应进行细胞学采样,检查是否有细菌(和/或马拉色菌属酵母菌)。
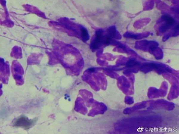
中性粒细胞内含有细菌表明为真实细菌感染(图10),而缺乏中性粒细胞但有大量微生物则定义为“细菌过度增殖”(图11)。只有细胞学检查发现胞内菌时,才应给予抗生素治疗嗜酸性斑块、严重抓痕和溃疡(颈部病变)。
图10 中性粒细胞中的球菌元素
图11 散布在角质细胞和中性粒细胞之间的背景中的大量细菌,提示有细菌过度增殖
如果是首次发生球菌导致的浅表脓皮症(图10),可以经验性给予阿莫西林/克拉维酸 12.5-25mg/kg q12h或头孢氨苄15-30mg/kg q12h或克林霉素5-10mg/kg q12h,连续2-4周,或直到病变愈合后再给一周。如果细胞学检查发现杆菌(图12),应进行细菌培养和药敏试验以便选择合适的抗生素。如果是细菌过度增殖或存在马拉色菌(图13),外部杀菌性治疗(例如氯己定泡沫、凝胶或喷剂)通常就足够了。如果是严重广泛性酵母菌感染,可以全身性给予伊曲康唑(5mg/kg PO q24h 2周)。抗生素治疗可以与前面提到的抗寄生虫治疗同时进行。
如果给予抗寄生虫药后(可能使用也可能未使用抗生素),瘙痒消失,应建议主人持续积极控制跳蚤。如果清除皮肤寄生虫和病理性微生物后,还持续瘙痒,可能猫患的是非跳蚤诱导性过敏,由食物或环境过敏原导致。最近发表的猫非跳蚤诱导过敏性皮炎的诊断标准可能对该病的诊断有所帮助(表1)(Favrot等人,2012)
至少身体有两处部位累及
至少存在以下4个临床表现中的2个:
对称性脱毛
粟粒状皮炎
嗜酸性皮炎
头颈部糜烂/溃疡
存在对称性脱毛
嘴唇上存在任何病变
下巴或颈部纯色糜烂或溃疡病变
臀部无病变
臀部或尾巴上无对称性脱毛
无结节或肿瘤
表1 Favrot等人(2012)制定的标准,用于诊断非跳蚤诱导过敏性皮炎:满足8个标准中的5个时诊断有75%的敏感性和76%的特异性。
为了区分食物过敏和环境过敏(相当于犬异位性皮炎),应开始为期8周的食物排除试验。应严格执行食物排除试验,可使用含有猫从未吃过的蛋白质和碳水化合物的家庭自制饮食或商业粮,也可以使用水解蛋白粮。应注意不要让猫吃到其他动物剩下的食物。可能还需要限制猫外出。如果8周后猫未完全治愈但有改善,继续食物试验2-6周,看是否能完全治愈。如果食物试验结果不好,或者猫/主人拒绝参与,临床医生必须在假定猫患异位性皮炎的基础上继续诊疗。
皮内过敏测试或血清IGE检测可能提示导致反应的过敏原,但不应用来诊断异位性皮炎,因为很多健康猫也出现阳性结果(Diesel和Deboer,2002)。如果测试结果为阳性,可以使用相应过敏原进行过敏原特异性免疫疗法(ASIT),据报道有效性与犬异位性皮炎相似。
和其他学科一样,诊疗皮肤病时,不能把猫当作“小型犬”。猫有其特殊的临床表现,例如嗜酸性肉芽肿复合体,以及鉴别诊断和治疗方式。
相关知识
猫过敏性皮肤病治疗方法
猫咪过敏性皮肤病怎么办?
猫过敏性皮肤病的治疗
狗狗过敏性皮肤病治疗
犬过敏性皮肤病核心管理原则
#文献简报·皮肤病学 2023AAHA犬猫过敏性皮肤病管理指南(8)(完结篇)
过敏性皮肤病
狗狗常见皮肤病:过敏性皮肤病治疗方法
犬猫脓皮症和过敏性皮肤病
婴儿过敏性皮肤病食物过敏原分析
原文链接: 认识猫过敏性皮肤病 https://m.mcbbbk.com/newsview1017910.html
| 上一篇: 狗狗异位性皮炎全攻略:预防、治疗... | 下一篇: 警报!猫咪过敏性皮炎来袭 |