
基本信息
品种:迷你泰迪
年龄:1岁6月
体重:1.6kg
性别:雌
绝育情况:否
病史调查及主述主诉及宠物症状:患犬从小体弱多病,皮肤病反反复复,之前有蠕形螨病史,主要表现在头部和双侧耳朵,后在附近医院打针+药浴治疗半年左右痊愈,最近一周鼻梁再次出现瘙痒、结痂、渗出、恶臭的症状,自己在家外涂过红霉素软膏,未见明显改善和好转,后送医就诊。
免疫/驱虫情况:上次免疫时间2022年3月17日/上次驱虫时间2022年4月
饮食、饮水及二便的特征和习惯:患犬平常以商品狗粮和零食为主,偶尔会喂一些水果,饮水主要是矿泉水,平常在室外草坪大小便。
病史和用药史:患犬五月龄首次出现蠕形螨感染,后一直反复出现皮肤病,一岁时真菌感染,一岁三个月左右感染脓皮症,三到五天不洗澡会出现体味的表现。曾经使用过洗必泰香波药浴,皮下注射过伊维菌素,口服阿莫西林克拉维酸钾、伊曲康唑,外用可鲁(溶菌酶喷剂)。
其他补充:狗狗皮肤病一直反反复复,未根治过,没有详细驱虫计划。
临床基础检查体温:38.2℃
水和状态:正常
精神状态:良好
病变最初位置及最初表现:本次皮肤病主要是表现鼻梁位置,全身皮肤检查发现少量皮屑,被毛干枯凌乱,右侧耳道检查发现有少量黑褐色油性分泌物,同时伴有体臭,偶尔会有抓挠耳朵的情况
瘙痒等级:40/100
是否有季节性:无
同居动物、家人皮肤情况:未见异常
临床症状:患犬精神良好,鼻头湿润,眼鼻口未见分泌物,触诊双侧下颚淋巴结未见异常,口腔牙齿检查有轻中度牙结石,全身被毛检查凌乱,缺乏光泽,同时伴有少量皮屑,鼻梁周围局部掉毛、皮肤泛红、结痂性溃疡、渗出,面积约1*1.5cm左右。
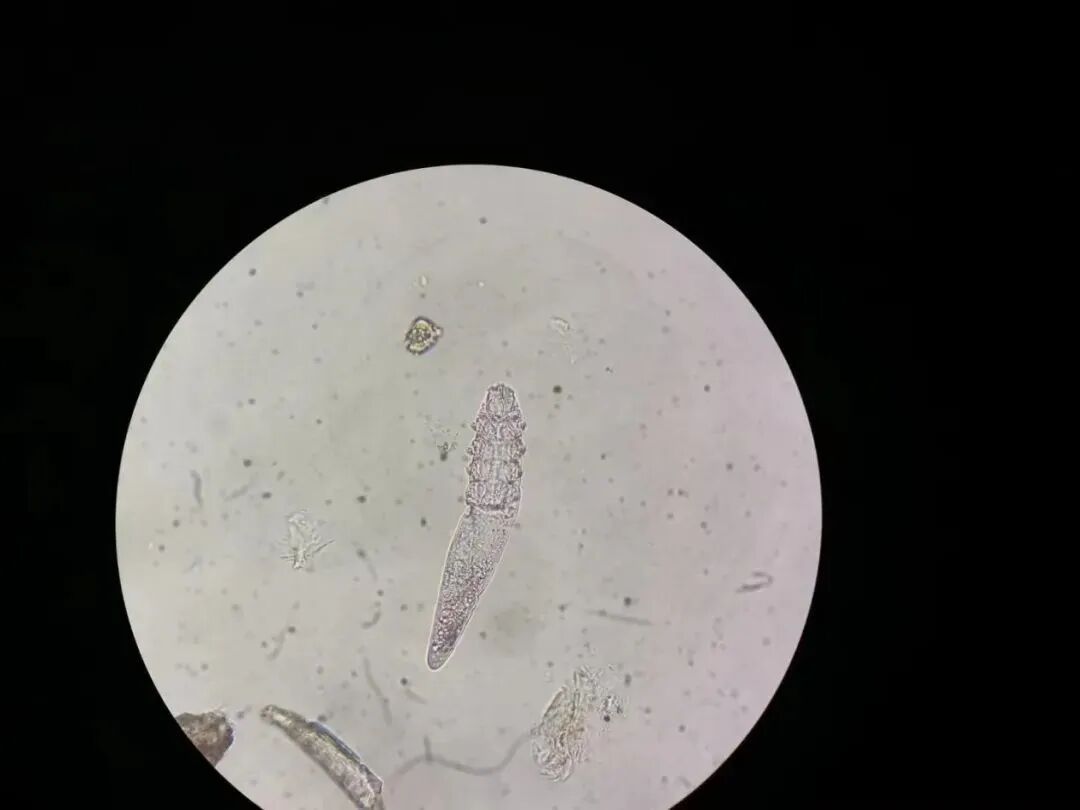
实验室及检查结果 初诊时的病灶图
初诊时的病灶图 实验室检查报告
实验室检查报告 血常规检查
血常规检查 生化检查
生化检查
患部拔毛镜检,镜下可见蠕形螨游走,皮肤样本细胞学检查可见少量球菌。

耳道分泌物镜检,镜下可见耳螨虫卵
皮肤刮片报告鉴别诊断和确诊结果:耳螨,蠕形螨,细菌性皮炎,二级牙结石。
治疗方案莫爱佳(吡虫啉莫昔克丁滴剂)0.4ml,外滴皮肤两周一次;海乐旺(米尔贝肟吡喹酮咀嚼片)27.5mg,一个月口服一次,一次一粒。
海耳净洗耳液60ml,三天清洗一次耳道;复方制霉菌素软膏,每天一次,使用7-10天。
君乐(复方阿莫西林粉)0.5g,0.5袋/次,每天两次;外用复合溶菌酶抗菌凝胶,每天两次。
派维清洁牙粉90g,每天两次,每次一勺;口服。
犬皮肤修护滴剂,外滴,一星期一次。
乐嚼健美毛软咀嚼,每天两次,每次一粒。
复诊及预后主诉:宠物体臭得到明显改善,鼻梁处结痂,瘙痒明显好转,双侧耳道未见分泌物,口臭缓解改善,全身被毛顺滑、光泽度增加。
临床症状:患宠鼻梁处皮肤结痂,新生毛囊长出,双侧耳道检查未见油性分泌物;未见耳螨,口腔口臭得到明显好转,牙结石有松动、减少的情况。
实验室检查结果:
 复诊时图片
复诊时图片 复诊时皮肤刮片报告
复诊时皮肤刮片报告 心得体会
心得体会日常诊疗过程中,做好体格检查,避免出现漏诊,例如本次就诊宠主的诉求是皮肤病,但是临床检查发现有耳螨、牙结石、被毛营养差等问题。很多时候宠物就诊时,宠主主诉只讲自身观察到的问题,实则有很多潜在的问题忽略,最后耽误了疾病的早期诊断治疗。
犬蠕形螨是一种常见皮肤病,可能有遗传倾向。根据犬的发病年龄,全身性蠕形螨分为青幼年发病型或成年发病型。幼年犬常在3-18月龄发病,一般青幼年发现蠕形螨时,是因为免疫力和抵抗能力差导致,治疗时需要提高患宠的皮肤免疫力和抵抗能力;针对成年犬发病时,需要排查是否有潜在的疾病,例如糖尿病、库欣式综合征等疾病。针对瘙痒严重的病例,需要谨慎使用免疫抑制剂控制瘙痒。
蠕形螨和耳螨是临床常见病例,在之前蠕形螨的成功管理相当困难,治疗面临用药周期长,安全性差,用药复杂等问题。在使用莫爱佳和海乐旺之后,莫爱佳做到了“广普驱虫,内外一体”、“药液温和不刺鼻,快速吸收不油腻”、长滴管,准确给药,操作方便,安全性高等特点。临床中提高了宠主依从性,也提高宠物了福利,得到广大宠主的好评。
随着生活水平的提高,宠主对宠物口腔的重视程度提高,日常宠物存在口臭、刷牙困难,牙结石难以预防等问题。派维清作为一款优秀的口腔护理产品,可有效防止牙菌斑和牙结石,促进牙龈健康,提升口腔卫生状况,有助于保持牙齿清洁,口气清新,预防牙周疾病等特点。希望大家一起重视宠物健康,提高宠物福利!

相关知识
治疗泰迪耳螨小窍门
泰迪耳螨严重怎么办 耳螨的及时治疗是很有必要的
犬蠕形螨病——宠物医师杂志
养宠小趣闻:泰迪耳螨可以用盐水,泰迪耳螨可以用盐水清洗吗
恙虫病、鹦鹉热、蠕形螨、头癣…吸猫风险这么高?
德国瑞沃特除螨净喷剂,宠物狗狗猫咪螨虫蠕形螨疥螨瘙痒皮肤bing
泰迪爱犬耳螨防治全攻略,做好这些,它们健康更有保障
AAHA认证!异噁唑啉类药物在犬猫过敏性皮肤病诊断流程中的价值
养宠小知识:三个多月的泰迪可以清耳朵的耳螨么
宠物常见皮肤病及其治疗方法!
网址: 关于迷你泰迪耳螨、蠕形螨和细菌性皮炎的诊断和治疗 https://m.mcbbbk.com/newsview76170.html
| 上一篇: 宠物解剖生理课程标准.pdf | 下一篇: 狗狗出现“皮肤病”的原因,如何预 |