首页 > 分享 > 【铎悦干货】优质稀缺的神经学病例:一例猫

【铎悦干货】优质稀缺的神经学病例:一例猫

​​图片图片

作者:高健

编辑:郭晨

摘要:

 一只2岁雌性未绝育的家养短毛猫因急性前庭症状发作而入院。1.5T MRI 扫查发现右侧薛氏上沟灰质下、左外侧丘脑,右侧中脑占位性病变,病变显著增强,怀疑肉芽肿性脑病和弥散性肿瘤性病变。脑脊液细胞学显示脑脊液细胞数目增多和轻度蛋白浓度升高。组织病理学检查病变为隐球菌性肉芽肿。本报道的目的在于为兽医文献提供了猫的隐球菌导致颅内病变的相应症状,以及 MRI 影像表现的描述。

关键词:隐球菌性肉芽肿;猫;MRI;前庭症状

猫隐球菌病较为少见,中枢神经系统感染更为少见。近年来,随着经济快速发展,各个宠物医院开始引进先进设备和技术人才,使得隐球菌的诊断越来越多,隐球菌病在国外的报告数目逐年增多,神经系统病变的报道也逐渐增多。

芭比堂国际动物医疗中心神经科接诊了一例猫的隐球菌中枢神经系统感染,现总结报告如下。

✦ 病例及检查 

Case & Examination

一只2岁雌性未绝育的家养短毛猫因急性左侧前庭症状发作而入院。病史调查无癫痫病史。

体格检查见被毛粗乱,整体无明显异常。眼科检查基本正常。这只猫就诊期间神经学检查,见仍然保留意识,但是精神状态沉郁,不断嚎叫,头部右侧歪斜,颈部左侧回转,无法四肢站立,四肢共济失调,向左侧转圈,向右侧打滚,四肢意识性本体感受缺失,脊髓反射正常。

常规血液学无明显异常,血清弓形虫特异性 IgG 和 IgM 测试均为阴性。膀胱穿刺取尿,镜检无明显异常,尿液培养阴性。IDEXX SNAP 检测猫白血病抗原(FeLV)和猫免疫缺陷病毒(FIV)抗体均为阴性。体格检查无明显其他系统异常。

随后对猫进行体况评估,为 ASA II 级,行全身吸入麻醉联合丙泊酚静脉麻醉,扫查 MRI 后,小脑延髓池收集脑脊液(CSF)。

✦ 影像学诊断 

Imaging diagnosis

图片图片

猫稳定麻醉状态下,使用 1.5T MRI (SuperVan 1.5T 磁共振成像系统,苏州朗润医疗系统有限公司)对猫的脑部进行扫查,使用顺磁性增强剂(钆喷酸葡胺 Gd-DTPA,0.1mmol/kg,IV)进行增强后扫查,显示颅内多个占位性病变。

主要表现右侧薛氏上沟皮质下、左外侧丘脑,右侧中脑不规则占位性病变,呈 T2WI 高强度信号,T1WI中低强度信号,FLAIR 中高强度信号,伴占位性病变外周轻度至显著不均匀增强,DWI 呈低至无强度信号,脑膜轻度至中度增强信号。

脑中线轻度向右侧偏移,双侧嗅裂和侧脑室轻度扩张,左侧侧脑室轻微受压变形。右侧薛氏上沟灰质下肿物的大小约为6.10mm X 4.59mm X 5.54mm,左外侧丘脑肿物的大小约为12.18mm X 7.91mm X 12.28mm,右侧中脑肿物的最大横截面大小约为9.82mm X 8.86mm X 10.09mm(使用DICOM看图软件 Horos v 3.3.5 在 T2WI 图像上进行测量,软件来源https://horosproject.org)。

正中矢状面可见小脑显著变形,小脑向后位移,小脑尾侧向枕骨大孔疝出,与左侧下行性大脑幕疝和小脑枕骨大孔疝一致。正中矢状面还可见颈部脊髓大面积T2WI 高强度信号,T1WI 低至无强度信号,无增强区域,与脊髓空洞症一致。没有发现其他明显的病变,筛骨气房或筛状板未见异常。

鉴别诊断怀疑肉芽肿性脑病和弥散性肿瘤性病变,主要怀疑真菌性肉芽肿,淋巴瘤,胶质瘤,脑膜瘤,肉芽肿性脑膜脑炎等。

图片图片

图 1 该病例的脑部 MRI 图像,选取自右侧薛氏上沟灰质下肿物最大横截面所在层,侧脑室轻度扩张,肿物呈 T2WI 中高至高强度信号,T1WI 中等至中低强度信号,伴病变外周轻度至中度增强。从左向右依次为T2WI,T1WI和增强后T1WI。T1WI,T1 加权成像;T2WI,T2 加权成像;TRA,横断面;SAG,矢状面;COR,冠状面。

图片图片

图 2 该病例的脑部 MRI 图像,选取自左外侧丘脑肿物最大横截面所在层,侧脑室和第三脑室轻度扩张,肿物呈 T2WI 中高至高强度信号,T1WI 中低强度信号,伴外周轻度至中度增强。从左向右依次为T2WI,T1WI和增强后T1WI。T1WI,T1 加权成像;T2WI,T2 加权成像;TRA,横断面;SAG,矢状面;COR,冠状面。

图片图片

图 3 该病例的脑部 MRI 图像,选取自右侧中脑肿物最大横截面所在层,肿物呈 T2WI 中高至高强度信号,T1WI 中低强度信号,伴病变外周轻度至中度增强。同时可见小脑前侧受肿物挤压向后位移,小脑尾侧向枕骨大孔位移,超出了枕骨大孔并挤压延髓和第一颈部脊髓段,与下行性经幕疝和小脑枕骨大孔疝一致。从左向右依次为T2WI,T1WI和增强后T1WI。T1WI,T1 加权成像;T2WI,T2 加权成像;TRA,横断面;SAG,矢状面;COR,冠状面。

图片图片

图片图片

图片图片

图 4 该病例脑部三处肿物MRI的横断面 FLAIR序列,T2*序列和 DWI 序列。FLAIR,液体衰减反转恢复序列;DWI,弥散加权成像;TRA,横断面;SAG,矢状面;COR,冠状面。

✦ 脑脊液检查 

Examination of cerebrospinal fluid

脑脊液清澈无色,蛋白浓度为<2 g/L, 尿液试纸条测试蛋白阴性, 潘迪试验阴性。半小时静置沉淀法染色细胞学观察并计数,见17个嗜中性粒细胞,23个单核细胞和4个淋巴细胞,证实脑脊液细胞增多症,提示脑部炎症。未进行脑脊液培养。

✦病理学检查

Pathological examination

图片图片

主人未同意活检,选择安乐死。经允许后进行安乐死后尸体检查。

尸检取下脑组织后,福尔马林固定 24 小时后进行大体切片观察,可见边缘清晰的光亮略透明病灶侵袭右侧顶叶、左外侧丘脑和右侧中脑的灰白质交界处,与 MRI 表现一致。三个部位的肿物均进行了组织病理学检查,三个肿物的病理结果是一致的。

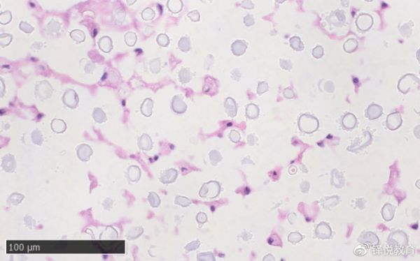
未进行过碘酸雪夫(Periodic Acid-Schiff,PAS )染色前,先行常规苏木精曙红染色 (Hematoxylin and eosin,HE) 染色,可见肿物内部大量圆形至椭圆形万不染色或淡染的菌体并有厚而无色透明外周荚膜,含荚膜的直径大小约 10-30μm不等,PAS染色可见菌体周围存在紫红色环状物质,呈阳性反应,提示糖原荚膜存在。

肿物边缘有广泛的水肿和胶质增生,大量单核细胞,淋巴细胞在病变周围聚集,提示强烈的化脓性炎症。病变周围存在严重反应性胶质增生。其他脑膜区域也可见菌体和小动脉周袖套征象。

这几个肿块经过组织病理学检查,与隐球菌性化脓性肉芽肿一致。

图片图片

图 5 右侧顶叶薛氏上回皮质下(A)、左外侧丘脑(B)和右侧中脑(C)的三处肿物的大体解剖。

图片图片

图片图片

A (HE 染色) B (HE 染色,20X)

图片图片

图片图片

C(HE 染色,40X) D (PAS 染色,40X)

图 6  右侧薛氏上回灰质下肿物,可见显著的菌体聚集,周围炎性细胞浸润,正常大脑组织结构消失。图 C 可见周围炎性细胞浸润,正常大脑组织结构消失,箭头指示菌体荚膜所形成的环状透明区域。图 D 可见菌体荚膜所形成的环状透明区域被 PAS 着色呈浅紫红色并有显著边缘,菌体呈紫红色。

✦ 结论 

Discussion

在人类医学研究领域,隐球菌属有多个种和多个变种,其中仅新生隐球菌及其变种具有致病性[1]。新生隐球菌几乎全部经肺入侵而感染人体,90%病损仅局限于肺部,10%可经血行传播扩散至其他器官。中枢神经系统及皮肤是最常见的继发感染的部位,该菌易侵犯中枢神经系统可能与脑脊液中存在的天门冬素及肌酐有助于菌生长有关。本病传播途径尚未阐明,当机体免疫力下降时,病原菌可直接侵入并引起血行传播,故长期使用免疫抑制剂或糖皮质激素的患者、艾滋病、白血病等患者易患本病。[2] 

很多猫的中枢神经系统疾病很难诊断,因为猫的神经学检查往往很难检查而且难以判读,脑脊液分析通常不敏感也不具有特异性,影像学检查通常也没有很高的敏感性和特异性。

在人类医学,中枢神经系统隐球菌感染常常与免疫缺陷病毒导致获得性免疫缺陷综合征相关。神经系统内的隐球菌病人类患者的磁共振成像通常提示有脑膜炎或脑膜脑炎、Virchow–Robin间隙扩张、囊状结构(凝胶状假囊肿)和隐球菌肉芽肿[3,4,5]。病变通常T2WI高强度信号和T1WI中等至低强度信号。病变通常位于基底神经节、丘脑或中脑,直径从3mm到几厘米不等,这与本病例中的病变位置比较吻合[3,4,5]。

注射Gd-DTPA后隐球菌肉芽肿的增强并不典型[3,4,5,6],将Gd-DTPA的剂量加倍可使增强效果更加可靠[3],本病例中使用的Gd-DTPA剂量为0.1mmol/kg,肿物外周轻度至中度增强,增强后的病变没有 T2WI 序列明显。增强不明显的原因可能是炎症反应不剧烈以及隐球菌独特的生物特征及其外周的保护性多糖荚膜所致,一些报道认为更有可能是由于深度的免疫抑制[5,7]。

 就目前所搜索的文献而言,猫中枢神经系统隐球菌感染的病例较少。一般在脑脊液中看不到明显的隐球菌菌体,脑脊液发现菌体的概率在人类患者只有40-70%[8],在兽医CNS 隐球菌病例中只有60%[9]。未见菌体,但较轻微的脑脊液细胞增多,可能是由于感染导致隐球菌肉芽肿,只有晚期才蔓延至软脑膜[10]。

有些文献建议对脑脊液离心后取沉淀涂片行墨汁染色法检查,可以简便、可靠并快速发现隐球菌菌体[11]。脑脊液真菌培养是十分值得去做的,并应进行菌种鉴定,但是有部分脑脊液可能培养阴性[12]。

在人类医学,一般会建议病患进行血清学检查,但由于病患血清中可测到的抗体不多,因此检测抗体阳性率不高,特异性不强,仅作辅导诊断。小动物脑部隐球菌肉芽肿的CT没有MRI敏感,CT 可能只能检出明显占位的病变,但MRI 可以明显检查出多个病变甚至是非占位性病变。本病例中的T2WI 图像可以显著发现非占位病变,甚至比增强后T1WI 图像明显[13]。

中枢神经系统隐球菌病应该与脑膜炎、颅内占位性病变及其他颅内疾病相鉴别。常见的猫颅内占位性病变不常见,多发性占位性病变更罕见。鉴别诊断怀疑肉芽肿性脑病和弥散性肿瘤性病变,主要怀疑真菌性肉芽肿,淋巴瘤,胶质瘤,脑膜瘤,肉芽肿性脑膜脑炎等。基于病变位置,病变MRI 的影像表现,动物的特征和年龄,临床诊断为真菌性肉芽肿,其中最有可能的就是隐球菌病。如果有更高场强的 MRI,基于隐球菌病变中核磁共振波谱分析存在高水平的α,α-海藻糖,隐球菌肉芽肿可能与其他脑损伤鉴别[14]。

治疗可选用氟康唑、伊曲康唑、氟胞嘧啶、两性霉素B及其脂质体等抗真菌药物。两性霉素B为多烯类抗生素,与真菌胞膜上的固醇类结合,改变膜的通透性,使菌体破坏而起到杀菌作用,是目前治疗隐球菌病的首选药物,可以静脉给药或者硬膜下腔内注射。5-氟胞嘧啶是一种口服的系统性抗真菌药物,对隐球菌有抑制作用,可与两性霉素B合用,治疗全身性隐球菌病。氟康唑是双三唑类抗真菌药,作用机理和抗菌谱与酮康唑相似,可以有效通过血脑屏障,体内抗真菌活性比酮康唑强,对隐球菌等有抑制作用。以上抗真菌药物治疗均对全身各个脏器会有毒副作用,需要定期检测其他指标。其他治疗包括治疗原发病因,把握免疫抑制剂的使用,对症治疗等。

兽医使用药物治疗的犬猫隐球菌的预后效果研究较多,但神经系统隐球菌病的预后研究较少。在一项研究中,唯一预测治疗成功的因素是FeLV和FIV的血清测试阴性。来自其他研究的证据表明,猫的FIV感染可能影响宿主对隐球菌感染的反应。在一项研究中,从口咽拭子中分离出新型隐球菌(cryptococcus neoformans)的频率在FIV-血清阳性猫中显著升高[15]。

另一项研究得出的结论是,即使FIV不会带来不良的预后,但是FIV血清阳性的猫需要更长的治疗疗程,并且更有可能出现疾病恶化或扩散[16]。一项研究结果表明,患有隐球菌病的FeLV或FIV血清阳性的猫预后较差[17]。但是上述三个研究均基于所有感染隐球菌的病患,包括皮肤隐球菌感染,因此对单纯神经系统病变的预后指示意义不大。

在一项研究的结论中,猫中枢神经系统疾病是影响预后的唯一因素,犬猫隐球菌病的预后保守,但大部分的犬尤其是猫可以预期可治愈,但是病程可能很长[18]。

参考文献

[1] Hagen, F., Khayhan, K., Theelen, B., Kolecka, A., Polacheck, I., Sionov, E., ... & Boekhout, T. (2015). Recognition of seven species in the Cryptococcus gattii/Cryptococcus neoformans species complex. Fungal Genetics and Biology, 78, 16-48.

[2] Maziarz, E. K., & Perfect, J. R. (2016). Cryptococcosis. Infectious Disease Clinics, 30(1), 179-206.

[3] Andreula CF, Burdi N, Carella A (1993) CNS cryptococcosis in AIDS: spectrum of MR findings. Journal of Computer Assisted Tomography 17, 438–441

[4] Ostrow TD, Hudgins PA (1994) Magnetic resonance imaging of intracranial fungal infections. Topics in MRI 6, 22–31

[5] Miszkiel KA, Hall-Craggs MA, Miller RF, Kendall BE,Wilkinson ID, Paley MN, Harrison MJG (1996) The spectrum of MRI findings in CNS cryptococcosis in AIDS. Clinical Radiology 51, 842–850

[6] Mathews VP, Alo PL, Glass JD, Kumar AJ, McArthur JC (1992) AIDS-related CNS cryptococcosis: radiologic pathologic correlation. AJNR 13, 1477–1486

[7] Yu YQ, Jiang XX, Gao YJ (1995) MRI of a pituitary cryptococcoma simulating an adenoma. Neuroradiology 37, 449–450

[8] Dimech WJ (1991) Diagnosis, identification and epidemiology of Cryptococcus neoformans infection. Australian Journal of Medical Laboratory Science 12, 13–21

[9] Meric Taylor S (1998) Diagnostic tests for the neuromuscular system. In: Small Animal Internal Medicine. Nelson RW, Couto CG (eds). St Louis: Mosby, pp 955–969

[10] Mitchell DH, Sorrell TC, Allworth AM, Heath CH, McGregor AR, Papanaoum K, Richards MJ, Gottlieb T (1995) Cryptococcal disease of the CNS in immunocompetent hosts: influence of cryptococcal variety on clinical manifestations and outcome. Clinical Infectious Disease 20, 611–616

[11] Kumar J S, Rayvathy B, Chandrasekar C. Comparison of conventional and serological methods in diagnosis of cryptococcal meningitis among HIV seropositive individuals in a south Indian tertiary care center[J]. Journal of Evolution of Medical and Dental Sciences, 2016, 5(21): 1090-1093.

[12] Speed B, Dunt D (1995) Clinical and host differences between infections with two varieties of Cryptococcus neoformans. Clinical Infectious Disease 21, 28–34

[13] Tien RD, Chu PK, Hesselink JR, et al. Intracranial cryptococcosis in immunocompromised patients: CT and MRI findings in 29 cases. Am J Neurol Radiol 1991;12:283–9.

[14] Dzendrowski TE, Himmelreich U, Dowd S, Allen C, Mountford C, Sorrell TC (1999) An animal model for ex vivo discrimination of cerebral cryptococcoma from glioma. In: Programme and Abstracts of the 4th International Conference on Cryptococcus and Cryptococcosis, London, UK. London: The Royal Society, pp 185

[15] Mancianti F, Giannelli C, Bendinelli M, et al. Mycological findings in feline immunodeficiency virus-infected cats. J Med Vet Mycol 1992;30:257-259.

[16] Malik R, Wigney DI, Muir DB, et al. Cryptococcosis in cats: Clinical and mycological assessment of 29 cases and evaluation of treatment using orally administered fluconazole. J Med Vet Mycol 1992;30:133- 144.

[17] Jacobs, G. J., Medleau, L., Calvert, C., & Brown, J. (1997). Cryptococcal infection in cats: factors influencing treatment outcome, and results of sequential serum antigen titers in 35 cats. Journal of veterinary internal medicine, 11(1), 1-4.

[18] O’brien, C. R., Krockenberger, M. B., Martin, P., Wigney, D. I., & Malik, R. (2006). Long‐term outcome of therapy for 59 cats and 11 dogs with cryptococcosis. Australian veterinary journal, 84(11), 384-392.

高医生 拥有自由灵魂的宠物医生。高医生 拥有自由灵魂的宠物医生。

高 健 

芭比堂国际动物医疗中心神经科和影像科医生专业方向:神经科、神经外科、高级影像科、急重症护理2018年美国宾西法尼亚大学小动物教学医院短期访学2017年ESAVS神经病理及MRI影像判读瑞士短期访学​​​​

相关知识

铎悦教育:创造适合宠物行业从业人员终生成长的教育
铎悦教育集团
中国兽医协会与铎悦教育科技集团启动“宠物临床营养管理师”项目签约
一例犬荐椎骨折和荐髂关节脱位病例分析
宠物骨折病例
宠物骨折病例.docx
犬猫神经学检查是什么?
一例猫中枢神经疾病的中医治疗
临床一线 | 一例猫脂肪肝病例
一例贵宾犬肠道异物的病例报告

原文链接: 【铎悦干货】优质稀缺的神经学病例:一例猫 https://m.mcbbbk.com/newsview445721.html

分类:萌宠日常
上一篇: 杨医生犬猫神经科普第一集——犬猫...下一篇: 神经系统动物模型种类有哪些?