一般情况
01 主诉及病史
5天前突然出现步态异常。无已知的外伤史。
02 检查
入院前对未麻醉患者的脊椎进行了X光检查,发现其T7-T8椎体后凸,这被认为是兔子常见的发现,与观察到的神经症状无关。
除步态异常外,一般体格检查无异常。心率、呼吸频率和体温均在参考范围内。体重为1.67千克,定期接种疫苗。
神经系统检查显示精神状态正常,中度活动性四肢瘫痪,右侧更严重。两侧后肢和右前肢本体感觉减弱。脊髓反射显示后肢反射亢进,左前肢退缩反射正常,右前肢退缩反射减弱。颅神经检查正常。未发现大小便失禁。神经系统检查结果符合右侧C6-T2脊髓神经病变。
全血细胞计数和生化检查均无异常。
对兔子进行咪达唑仑(1 mg/kg)、右美托咪定(0.25 mg/kg)和美沙酮(0.5 mg/kg)肌肉注射预处理。CT及MRI检查过程中持续输注右美托咪定(10 μg/kg/h)和氯胺酮(50 μg/kg/h)维持全身麻醉。检查结束后使用0.25 mg/kg阿替美唑静脉注射逆转右美托咪定,同时使用0.05 mg/kg氟马西尼静脉注射拮抗咪达唑仑。
CT检查显示,硬膜外高密度病变位于C6-C7椎间隙水平的脊髓右背外侧,横切面约占椎管的50%。
病变呈卵圆形,边缘清晰,与背弓无粘连。右侧C6-C7关节面关节周围出现骨膜反应,但无骨折或溶骨迹象(下图)。
↑ CT图像:C6-C7关节面水平的颈椎矢状面(A)和横断面图像(BC)。在C6-C7椎间隙水平,脊髓背外侧(右侧)有一硬膜外界限清楚的卵圆形高密度病变。注意右侧C6-C7关节面关节周围的骨膜反应(白色箭头)。
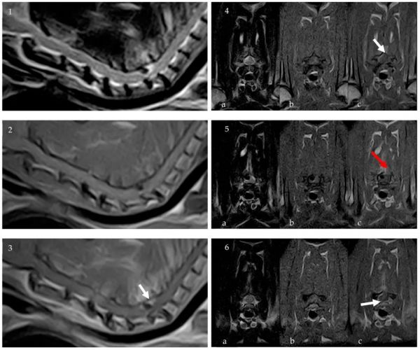
CT扫描后立即进行了颈胸椎的0.32 T MRI检查。证实在T1W和T2W序列上存在均匀的低密度物质,符合部分矿化的硬膜外病变。病变呈卵圆形,边缘规则,位于C6-C7椎间隙,在脊髓右侧和背侧,大小约2.5×2×4 mm。对脊髓造成了严重压迫,估计约占横截面积的50%。没有骨折、脱位或外伤迹象。对比后显示病变周围脊髓脑膜增强,右侧椎旁肌肉轻度增强,尤其是右侧C6-C7关节面关节周围突出(下图)。
↑ MRI成像:颈椎矢状位T2W(1)、矢状位T1W(2)和对比后T1W(3)图像。C6 椎体水平[(4a) T2W、(4b) T1W、(4c)对比后T1W]、C6-C7椎间隙水平[(5a) T2W、(5b) T1W、(5c)对比后T1W]和C7椎体水平[(6a) T2W、(6b) T1W、(6c)对比后T1W]图像。证实T1W和T2W序列上存在均匀低密度物质,符合硬膜外部分矿化。对比后序列显示病变周围脊髓脑膜增强(白色箭头),右侧椎旁肌肉轻度增强(红色箭头)。
C6-C7椎间盘体积略有减小,呈背外侧分布,表明病变可能起源于椎间盘,可能与脑膜炎症和继发于外伤的肌肉变性有关。
03 治疗
接受了7天的美洛昔康(1 mg/kg/天,PO)以及8天的磺胺甲噁唑/甲氧苄啶(30 mg/kg,每天两次,PO)治疗和笼子休息。兔子的神经状况在最初有所改善后又开始恶化,行走越来越困难,右侧经常着地。考虑到神经状况的严重性,决定对病变部位进行手术减压。
用与影像检查相同的麻醉方案进行预麻醉。在右侧耳缘静脉置入26号19 mm静脉导管。使用丙泊酚(2 mg/kg)静脉注射诱导全身麻醉,并通过内窥镜气管插管置入3.5 mm无套管气管导管。在氧气和机械通气中使用异氟醚维持麻醉。
术中镇痛采用芬太尼-利多卡因静脉恒速输注,包括0.002 mg/kg/h芬太尼和3 mg/kg/h利多卡因,并根据需要进行调整。标准生理盐水(0.9%NaCI)溶液(10 mL/kg/h)用作输液治疗。手术期间出现了严重低血压,使用去甲肾上腺素(0.5 µg/kg/min)有反应。
为了进行颈椎背侧入路手术,患者被置于胸骨后位。为了准确识别C6-C7椎间隙,使用了术中透视增强器。切开从C5棘突到T1棘突的皮肤后,沿中线分割颈阔肌,并使用Gelpi牵开器将颈韧带向左侧牵开。然后使用骨膜剥离子将外侧肌肉从棘突和椎板上抬起,并用Gelpi牵开器牵开,以暴露棘突和椎板。
为了准确观察该区域,在整个半椎板切除术和病灶清除过程中都使用了手术显微镜。使用高速锉刀和0.5 mm Kerrison rongeur进行右侧半椎板切除术并暴露脊髓。精细地取出硬膜外病灶,松解病灶与硬脑膜和椎间韧带之间的粘连(下方视频)。收集硬膜外病灶并提交组织学检查。使用可吸收材料依次缝合肌肉和筋膜。皮下和皮肤常规缝合。手术时间为45分钟。
组织学检查显示,大部分是轻度紊乱的纤维环碎片,伴有较小的髓核碎片,两者都表现出软骨化。髓核和纤维环均有重要的软骨细胞裂隙,嵌入透明基质中。软骨碎片显示出内部撕裂,并伴有纤维血管肉芽组织的灶性增生。在整个软骨碎片和新形成的组织中,有大片的萎缩矿化区域。诊断结果是椎间盘变性物质挤出的空间被肉芽组织包裹(下图)。
↑ 组织切片上具有代表性的椎间盘片段,经过HE和吉姆萨染色。片段由透明基质(白箭头)和纤维软骨(黑箭头)组成,并伴有不典型的多细胞软骨细胞团(PCL)和大面积矿化区,HE(☆)染色效果更佳。
04 预后
术后用0.25 mg/kg阿替美唑肌注和0.05 mg/kg氟马西尼静脉注射。术后疼痛控制采用美洛昔康(0.3 mg/kg,皮下)和美沙酮(0.6 mg/kg,肌注)。静脉注射0.9%NaCI溶液(10 mL/kg/h)作为输液治疗。
术后6小时,开始自主进食,并能独立行走,只是右侧四肢瘫痪的情况持续恶化。
不幸的是,术后出现了急性肾功能衰竭,于术后18小时去世。
05 讨论
在狗中, 椎间盘突出(intervertebral disc extrusion,IVDE)经常发生,特别是在软骨营养不良的犬中,胸腰椎和颈椎都会受到影响。在猫中,IVDE的报道较少[1-5]。兔的IVDE及其治疗很少报道。虽然有一些胸腰椎间盘病变的病例,但以前还没有关于颈椎IVDE的报道 [6-12]。
兔子瘫痪是一种比较常见的疾病,最常见的原因是操作不当或自发造成的外伤导致腰椎半脱位或骨折[9,11,16]。个别病例报告描述了关节囊肿和骨髓炎继发压迫胸腰椎脊髓和神经症状[17,18]。在颈椎方面,有一例复杂性寰枢椎畸形导致压迫性脊髓病的病例[19]。
与这些病例相比,兔椎间盘病很少报道[6-12]。1975年,在一个病例系列中,4例截瘫病例中有两例在死后确诊为IVDE[10]。在一篇关于家兔神经系统疾病的综述中,IVDE被描述为预后不良的罕见疾病[9]。一项研究描述了一只截瘫兔成功通过手术治疗胸腰椎IVDE[6]。最近的一项研究描述了对一只截瘫家兔复发性胸腰椎内翻畸形的成功保守治疗[12]。
IVDE是犬神经系统疾病的常见病因,尤其是在软骨营养不良的犬种中,在猫中较少见[1,2,5,20]。对兔椎间盘病变的描述有限,可能是由于经济和麻醉相关的风险和顾虑[21],兔子很少使用先进的成像诊断技术。
近年来对家兔IVDE的描述有所增加,这可能是由于MRI的使用越来越多,再加上技术和成像方案的进步[6,12]。这些进步使得即使是体型较小的患者也能更容易地获得高质量的诊断图像。IVDE的及时诊断可以有针对性地及时实施保守或手术治疗,从而防止神经功能衰退,改善患者预后。
在本病例中,组织学检查显示椎间盘变性,髓核软骨化。组织学检查中明显的肉芽组织是IVDE中的常见病变,尤其是与钙化物质相关的病变。它是由硬膜外间隙中存在的髓核引发的炎症反应造成的[22,23]。在本病例中,MRI和CT上挤出物的信号特征提示为矿化物,证实其为萎缩性变性。与本病例类似,既往报告的病例中的突出物在T1W和T2W序列中均呈低密度,表明其信号特征符合退化的椎间盘材料[12]。
狗的IVDE通常与软骨营养不良患者的椎间盘退化有关。在兔子中,这些事件的真实发生频率以及是否与软骨营养不良相关尚不清楚。在本患者中,这种材料的挤出可能是由于主人没有亲眼目睹的创伤事件造成的。CT图像并未显示出关节面骨折,但由于患者体型较小,无法完全排除微骨折的可能性。
虽然需要更大的样本量才能准确确定家兔IVDE的发生率(尤其是在颈椎区域)及其与创伤事件或软骨营养不良的潜在关联,但本病例的结果表明,在对出现急性四肢瘫痪的家兔进行鉴别诊断时应考虑IVDE[28,29]。因此,尽管兔子的麻醉过程存在固有风险,但鉴于IVDE是一种良性病变,建议进行全面的诊断及治疗评估。
文献来源:Porcarelli L, Dell’Era E, Collarile T, De Palma V, Morara N, Matiasek K, Corlazzoli D. Cervical Disc Extrusion with Dorsal Migration in a Pet Rabbit. Vet Sci. 2024 Jul 21;11(7):328.
参考文献
1.Bibbiani L., Gelendi S., Bernardini M., Balducci F., Contiero B., Canal S. Prevalence, Clinical Presentation and MRI of Intervertebral Disc Herniations in Cats. J. Feline Med. Surg. 2022;24:e443–e452.
2.De Decker S., Warner A.-S., Volk H.A. Prevalence and Breed Predisposition for Thoracolumbar Intervertebral Disc Disease in Cats. J. Feline Med. Surg. 2017;19:419–423.
3.Bergknut N., Egenvall A., Hagman R., Gustås P., Hazewinkel H.A.W., Meij B.P., Lagerstedt A.-S. Incidence of Intervertebral Disk Degeneration–Related Diseases and Associated Mortality Rates in Dogs. J. Am. Vet. Med. Assoc. 2012;240:1300–1309.
4.Amey J.A., Liatis T., Cherubini G.B., De Decker S., Foreman M.H. Outcomes of Surgically and Conservatively Managed Thoracolumbar and Lumbosacral Intervertebral Disc Herniations in Cats. J. Vet. Intern. Med. 2024;38:247–257.
5.Smolders L.A., Bergknut N., Grinwis G.C.M., Hagman R., Lagerstedt A.-S., Hazewinkel H.A.W., Tryfonidou M.A., Meij B.P. Intervertebral Disc Degeneration in the Dog. Part 2: Chondrodystrophic and Non-Chondrodystrophic Breeds. Vet. J. 2013;195:292–299.
6.Kozlov N., Pozyabin S., Bhattarai B., Liptak T., Fuchs J., Maresova S., Kuricova M. Surgical Management of Intervertebral Disc Extrusion in a Rabbit. J. Small Anim. Pract. 2022;63:570.
7.Gruber A., Pakozdy A., Weissenböck H., Csokai J., Künzel F. A Retrospective Study of Neurological Disease in 118 Rabbits. J. Comp. Pathol. 2009;140:31–37.
8.Meredith A., Lord B. BSAVA Manual of Rabbit Medicine. British Small Animal Veterinary Association; Quedgeley, UK: 2014.
9.Meredith A.L., Richardson J. Neurological Diseases of Rabbits and Rodents. J. Exot. Pet Med. 2015;24:21–33.
10.Baxter J. Posterior Paralysis in the Rabbit. J. Small Anim. Pract. 2008;16:267–271.
11.Quesenberry K., Carpenter J.W. Ferrets, Rabbits and Rodents—E-Book: Clinical Medicine and Surgery. Elsevier Health Sciences; Amsterdam, The Netherlands: 2021.
12.Della Camera N., Sola S., Falzone C. Conservative Treatment of Recurrent Intervertebral Disc Extrusions in a Lionhead Rabbit. Vet. Rec. Case Rep. 2024;12:e790.
13.Armstrong J.F. Neurologic Assessment and Critical Care of Exotic Animals: Approach to the Neurologic Exam, Species Differences, Prognostic Scales, Commonly Encountered Conditions, Ancillary Diagnostic Tests, and Caring for Neurologically Impaired Patients. Vet. Clin. Exot. Anim. Pract. 2023;26:545–566.
14.Vernau K.M., Osofsky A., LeCouteur R.A. The Neurological Examination and Lesion Localization in the Companion Rabbit (Oryctolagus cuniculus) Vet. Clin. N. Am. Exot. Anim. Pract. 2007;10:731–758.
15.Reed S.D., Shaw S., Evans D.E. Spinal Lymphoma and Pulmonary Filariasis in a Pet Domestic Rabbit (Oryctolagus cuniculus Domesticus) J. VET Diagn. Investig. 2009;21:253–256.
16.McCullough A.W., Guzman D.S.-M., Keller D., Ellison M., Petersen S., Sladky K. Medical Management of Multiple Traumatic Vertebral Subluxations and Fractures in a Rabbit (Oryctolagus cuniculus) J. Exot. Pet Med. 2012;21:172–180.
17.Crawford A.H., Hedley J.E., Lam R., Drożdżyńska M.J., De Decker S. Surgical Treatment of a Paraspinal Abscess with Osteomyelitis and Spinal Cord Compression in a Rabbit. J. Am. Vet. Med. Assoc. 2017;251:340–344.
18.Delamaide Gasper J.A., Rylander H., Mans C., Waller K.R., Imai D.M. Surgical Management of Vertebral Synovial Cysts in a Rabbit (Oryctolagus cuniculus) J. Am. Vet. Med. Assoc. 2014;244:830–834.
19.Nessler J.N., Attig F., Thöle M., Raddatz B., Beineke A., Fehr M., Tipold A., Stein V.M. Cervical Myelopathy Due to Complex Atlanto-axial Malformation Including Partial Atlantal Dorsal Arch Aplasia in a Domestic Rabbit. J. Small Anim. Pract. 2019;60:384–389.
20.Dickinson P.J., Bannasch D.L. Current Understanding of the Genetics of Intervertebral Disc Degeneration. Front. Vet. Sci. 2020;7:431.
21.Lee H.W., Machin H., Adami C. Peri-Anaesthetic Mortality and Nonfatal Gastrointestinal Complications in Pet Rabbits: A Retrospective Study on 210 Cases. Vet. Anaesth. Analg. 2018;45:520–528.
22.Fadda A., Oevermann A., Vandevelde M., Doherr M.G., Forterre F., Henke D. Clinical and Pathological Analysis of Epidural Inflammation in Intervertebral Disk Extrusion in Dogs. J. Vet. Intern. Med. 2013;27:924–934.
23.Züger L., Fadda A., Oevermann A., Forterre F., Vandevelde M., Henke D. Differences in Epidural Pathology between Cervical and Thoracolumbar Intervertebral Disk Extrusions in Dogs. J. Vet. Intern. Med. 2018;32:305–313.
24.Głodek J., Adamiak Z., Przeworski A. Magnetic Resonance Imaging of Reptiles, Rodents, and Lagomorphs for Clinical Diagnosis and Animal Research. Comp. Med. 2016;66:216–219.
25.Gomes S.A., Volk H.A., Packer R.M., Kenny P.J., Beltran E., De Decker S. Clinical and magnetic resonance imaging characteristics of thoracolumbar intervertebral disk extrusions and protrusions in large breed dogs. Vet. Radiol. Ultrasound. 2016;57:417–426.
26.Furtado A.R.R., Cherubini G.B., Taeymans O. Low-Field Magnetic Resonance Changes in the Paravertebral Musculature of Dogs with Acute Intervertebral Disc Extrusion. J. Small Anim. Pract. 2019;60:367–373.
27.Suran J.N., Durham A., Mai W., Seiler G.S. Contrast Enhancement of Extradural Compressive Material on Magnetic Resonance Imaging. Vet. Radiol. Ultrasound. 2011;52:10–16.
28.Fox R.R., Crary D.D. Hereditary Chondrodystrophy in the Rabbit: Genetics and Pathology of a New Mutant, a Model for Metatropic Dwarfism. J. Hered. 1975;66:271–276.
29. Jepsen P.L., Kinkler R.J. Chondrodystrophy in a Rabbit. Vet. Med. Small Anim. Clin. 1977;72:1374–1375.