
作者:宠物医师网编委会
作者:J.P. Varshney and P.S. Chaudhary
(9月北京,三位影像专科医生手把手教学
助您精进腹超技术!)
不同种类动物的腹部器官在形状、大小、位置、回声强度等方面都有不同的特点。犬和猫也是如此。因此,关于犬的超声特征不能被理所当然的放在猫在检查上。对于从事超声检查的兽医来说,了解不同种类动物各器官的超声差异是至关重要的。犬和猫重要器官的超声特征的主要差异如下:
肝脏
• 犬的肝脏与脾脏相比回声较低。门静脉管壁具有高回声。
• 猫的肝脏与镰状脂肪呈等回声。肥胖猫的肝脏可能出现高回声。门静脉不太明显。
胆囊:
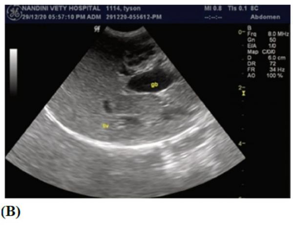
• 在犬中,胆囊和胆管看不到到大十二指肠乳头的水平。胆囊内的物质通常具有回声(图1A)。
• 猫的胆囊可呈双叶状。胆囊和胆管可见至大十二指肠乳头水平。正常情况下胆囊内容物无回声(图1B)。


图1 犬(A)和猫(B)的肝脏超声对比图。犬的胆囊内容物有轻微回声(A);而猫的胆囊内容物没有回声(B)。
脾脏
• 犬的脾脏(图2 A)大小不一。脾脏颅桡端位置随胃膨胀而变化。脾脏定位容易,但整个脾脏追踪较困难。沿脾内脏表面可见脾门静脉。
• 猫的脾脏(图2 B)大小一致,位于胃外侧。它的大小约为3至5厘米,厚度约为1厘米。其回声质地粗糙。由于它与周围肠系膜脂肪回声相比呈等回声或轻微低回声,因此很难辨别。脾门静脉不太明显,但可以通过彩色多普勒看到。


图2 :犬(A)和猫(B)脾超声对比图。犬脾大,略高回声,可见脾血管(A);猫脾小,相对低回声,脾血管不明显(B)
肾脏
• 正常情况下,犬和猫的两个肾脏是对称的,在皮质和髓质之间有一个明显的过渡区。皮质层是相对高回声的。肾憩室区可见高回声的薄壁血管。
• 犬的肾脏大小取决于体型大小。内高回声带与肾皮质有关。
• 在猫身上未见与肾皮质相关的内部高回声带。猫的肾脏大小是相似的(大约3.5到4.5厘米)。猫肾窦脂肪沉积比犬多。去势公猫的肾脏由于脂肪沉积较多,回声较强。
膀胱
• 在健康的犬和猫,膀胱壁分层很难可视化。在犬中,膀胱的大小和壁厚是可变的,这取决于犬的大小。
• 猫的膀胱体积小,大小一致,在一些临床健康的猫中,有时也可能看到高回声悬浮内容物。


图3 犬(A)和猫(B)的腹部超声图,膀胱表现为含有无回声液体的囊。
前列腺
• 犬的前列腺位于尿道近端周围,可见于膀胱尾侧至三角区位置。前列腺在绝育雄性犬中呈均匀低回声,形状为梭状;在未绝育雄性中呈均匀一致的高回声,形状为圆形。
肾上腺
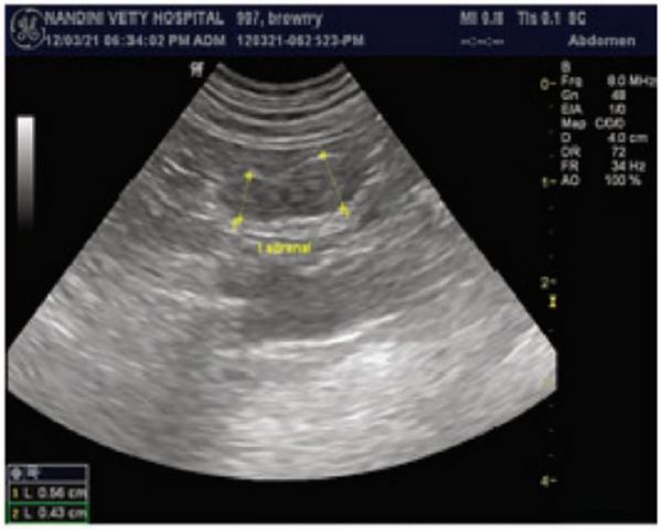
• 犬的肾上腺是细长的结构。左侧肾上腺在小型犬是花生形状,在中型和大型犬中呈煎饼状或草坪椅状。右侧肾上腺在小型犬是椭圆形,中型和大型犬为煎饼 / V型。肾上腺肿瘤肿块可见肾上腺矿化。
• 猫科动物的肾上腺呈椭圆形或豆状。它们两侧对称,相对于周围腹膜后脂肪为低回声。皮层和髓质无法区分。肾上腺矿化偶然可发现。


图4 德国牧羊犬的超声图,肾上腺为长而薄的低回声结构,边界为高回声。
右肾上腺(A)呈饼状,左肾上腺(B)呈细长结构。正常肾上腺的宽度从4.2到6.0 mm不等(C)。
胰腺
• 猫和犬的正常胰腺与周围肠系膜脂肪比呈等回声影像。
• 犬的胰腺右叶比左叶大,靠近降十二指肠。胰腺的大小取决于犬体型的大小。正常情况下,超声检查无法识别胰管。
•猫的左胰腺叶较大。胰管可识别,位于中心位置。其直径随年龄增长而增大。
• 犬的胃粘膜下层较薄。食物物质和/或气体的存在会限制了犬胃的评估。狗的幽门-十二指肠交界处位于更外侧的位置。
• 猫胃底区皱褶有明显的高回声粘膜下层。气体在猫的胃肠道中并不常见。猫的幽门-十二指肠角较窄,多位于中线和背侧。

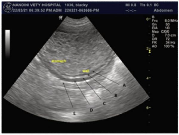
图5 健康犬的胃壁超声图。胃壁有五层交替结构。从内到外,分别为 : 高回声粘膜表面(A)、低回声粘膜(B)、高回声粘膜下层(C)、低回声固有肌层(D)和高回声浆膜层(E)。

图6 猫胃超声图显示车轮状外观,粘膜下层为高回声层。
十二指肠
• 犬的十二指肠粘膜层比空肠粘膜层要厚,其厚度随狗的体重而变化。
• 猫十二指肠粘膜薄,与空肠相似。
回肠
• 犬的回肠壁肌层、粘膜下层和粘膜层厚度更均匀。
• 猫回肠壁肌层和粘膜下层比粘膜层厚。
盲肠
• 犬的盲肠通常充满气体,难以与升结肠区分。
• 猫盲肠气体较少,可与升结肠区分。
结肠
• 结肠是犬从骨盆入口处到回肠之间的胃肠道中最薄的一段。
• 猫的结肠也是从盆腔入口到回肠之间最薄的一段胃肠道。
肛门囊
• 肛门囊位于直肠的两侧。肛囊组织的表面大部分被低回声的外括约肌包围。
• 肛囊组织偶尔会出现高回声细线。
• 犬的肛门囊呈椭圆形。
• 猫的肛门囊更圆。
• 犬正常肛门囊内容物表现为低回声,伴弥漫点状高回声碎片。
• 猫正常的肛门囊内容物通常表现为高回声。
腹腔淋巴结
• 犬髂内侧淋巴结呈梭状,超声可识别。
• 猫正常的髂内侧淋巴结超声检查不一定可识别到。
• 与周围肠系膜脂肪相比,犬的空肠淋巴结呈椭圆形/细长状,回声低。幼犬的这些淋巴结要大得多。
•与周围肠系膜相比,猫的空肠淋巴结呈椭圆形/豆状,回声低。这些淋巴结位于脐右侧,回肠结肠连接处内侧,靠近颅肠系膜门静脉。猫的回肠结肠淋巴结位于回肠结肠交界处附近。
参考文献 略
注:本文版权归"宠物医师网"所有。欢迎个人转发分享,其他任何媒体、网站如需转载或引用本网版权所有内容,须联系本站获得授权,且在醒目处注明 "转自宠物医师网"。
今日精彩课程
《腹腔其他器官超声-病例分享》
本节内容将总结之前的课程内容,以完整病例形式进行讨论,延伸学习临床新知和诊疗思路。
《犬猫血钙调节及临床意义》
本节课程将讲解呕吐与返流的原因及鉴别诊断管理与治疗。
《犬猫慢性肾病的治疗与护理》
本节课程将为您讲述:1.犬猫慢性肾病的病因;2.犬猫慢性肾病的治疗注意事项;3.犬猫慢性肾病的家庭护理。
宠物医师网2023下半年实操课程
点击图片详细了解您感兴趣的课程!
相关知识
犬猫胃肠道的超声影像差异
犬猫超声差异(下)
宠物腹部超声影像探测
犬猫肝脏疾病的超声临床表现
猫腹部超声检查:什么是正常的?什么是异常的?
犬猫泌尿系统超声检查轻松做
犬猫心脏超声检查技术规范
超声诊断犬妊娠技术
犬心脏超声的检查
小动物超声检查前准备及适应症
网址: 从零开始学超声 I 犬猫腹部超声大不同 https://m.mcbbbk.com/newsview206719.html
| 上一篇: 【干货奉上】各位医生请注意,超声 |
下一篇: 小动物超声影像诊断--看图讲病例 |