首页 > 分享 > 一例猫霍纳氏综合征的诊断与治疗

一例猫霍纳氏综合征的诊断与治疗

一例猫霍纳氏综合征的诊断与治疗

本病例报导了一例霍纳氏综合征(Honer’s Syndrome,HS)相关病例。患猫为一只年轻的雌性已绝育布偶猫,突发霍纳氏综合征:左侧瞳孔缩小、第三眼睑突出、上眼睑下垂、眼球下陷,该猫除左侧霍纳氏综合征以外,常规体格检查(包括耳镜)及神经学检查均无异常。通过眼科及 CT 检查最终确诊为中耳炎,并进行鼓泡切开手术治疗。本病例旨在分享临床常见霍纳氏综合征的临床常见病因筛查。本病例患病动物双侧垂直耳道外观正常,但患有中耳炎,提醒我们在临床中遇到类似的病例,不可全凭外观排除耳部疾病,需要根据问题思考鉴别诊断作出疾病定位,再结合高阶影像检查确诊。

一例猫霍纳氏综合征的诊断与治疗

1. 名字:奶油;

2. 性别:雌性(已绝育);

3. 年龄:1 岁 2 月;

4. 品种:布偶;

5. 来源:家养;

6. 粮食:以猫粮为主;

7. 饲养环境:单猫家庭;

8. 照片:

一例猫霍纳氏综合征的诊断与治疗 一例猫霍纳氏综合征的诊断与治疗

1. 主诉:

前一天下班回去的时候发现左眼变小,第三眼睑突出,今日仍未见改善。精神食欲各方面正常。

2. 病史情况:

小时候支原体感染;剪毛误伤。

3. 疫苗和驱虫:

疫苗齐全;驱虫三个月一次。

4. 用药史:

无。

一例猫霍纳氏综合征的诊断与治疗 一例猫霍纳氏综合征的诊断与治疗

1. 精神状况:良好;

2. 体重:4kg;

3. 体格情况:BCS:4/9;MCS:A;

4. 体温:大腿温 39 ℃;

5. 口腔黏膜:粉红;潮湿(CRT:2 秒);

6. 皮肤弹性:良好;

7. 水合程度:良好;

8. 心率:约 160 次 / 分钟;心律齐;无心杂音;

9. 脉博:与心率相同,股动脉触诊强有力;

10. 呼吸:30 次 / 分钟;肺音听诊未见杂音;

11. 外周淋巴结:触诊无异常;

12. 腹部触诊:未见明显疼痛感,腹壁放松;

13. 直肠检查:未做。

一例猫霍纳氏综合征的诊断与治疗

1. 左眼霍纳氏综合征(上眼睑下垂;第三眼睑突出;瞳孔缩小)。

一例猫霍纳氏综合征的诊断与治疗

1. 霍纳氏综合征

1.1 第一节段(中枢)

颅内肿瘤、创伤、梗死、炎症性疾病

颈段脊髓病灶:纤维软骨栓塞、创伤、感染性炎症性疾病、肉芽肿性脑膜脑炎、椎间盘突出、肿瘤

1.2 第二节段(节前)

T1-T3 脊髓病灶(创伤、肿瘤、纤维软骨栓塞、炎症)

臂神经丛撕裂

胸部脊神经根肿瘤

前纵隔肿物

颈部软组织肿瘤、创伤

颅底损伤

1.3 第三节段(节后)

感染:中耳炎 / 内耳炎

肿瘤:神经母细胞瘤、颈动脉体旁神经节瘤

球后损伤

1.4 其他

特发性

糖尿病多发性神经病

思考与分析:

动物年纪小,考虑耳道疾病、胸腔疾病等可能性;

由于无其他不适症状,不排除特发性可能;

动物年龄小,肿瘤的可能性不大;

尝试定位病变位置,精确排查定位异常。

一例猫霍纳氏综合征的诊断与治疗

1. 耳道镜检

垂直耳道无异常分泌物,无明显感染、增生、炎症等异常;

描述与分析:耳道基础检查未见明显异常,初步排除耳道疾病。

2. 眼科检查

2.1 眼压:右眼 22mmHg,左眼 18mmHg;

2.2 裂隙灯:左眼瞳孔缩小(较右眼);第三眼睑突出;其余未见明显异常;

2.3 角膜荧光素钠染色:角膜未着色;

2.4 眼底镜:眼底未见明显异常;左眼瞳孔可在 20 分钟内散开,较右眼仍偏小;同时,第三眼睑回到正常,上眼睑下垂改善(仍未至正常);

一例猫霍纳氏综合征的诊断与治疗

1、2、3 分别是双眼滴复方散瞳滴眼液(托比卡胺 + 肾上腺素)10-15-20 分钟后:

一例猫霍纳氏综合征的诊断与治疗

描述与分析:眼睛基础检查眼压偏低,提示左眼存在葡萄膜炎可能;患眼使用含去氧肾上腺素 + 托比卡胺的复方散瞳滴眼液后,缩瞳、上眼睑下垂和第三眼睑突出都有所改善,提示第三节段异常可能。

3. 血常规

一例猫霍纳氏综合征的诊断与治疗

描述与分析:无明显异常。

4. 生化

一例猫霍纳氏综合征的诊断与治疗

描述与分析:无明显异常。

一例猫霍纳氏综合征的诊断与治疗

1. 第三节段(节后)异常

一例猫霍纳氏综合征的诊断与治疗

1. 中耳炎 / 内耳炎;

2. 中耳肿瘤;

3. 球后损伤、肿瘤。

一例猫霍纳氏综合征的诊断与治疗

1. 头颅 + 胸腔 CT 共振平扫 + 增强

一例猫霍纳氏综合征的诊断与治疗

影像提示:左侧中耳炎。

一例猫霍纳氏综合征的诊断与治疗

1. 中耳炎。

一例猫霍纳氏综合征的诊断与治疗

1. 鼓泡切开术;

2. 鼓泡脓性分泌物送检细菌培养 + 药敏试验;

3. 术后用药:头孢派酮 50 毫克 / 千克,静脉注射,每天 1 次;美洛昔康 0.1 毫克 / 毫升;马坡沙星 1 毫克 / 千克,每天 1 次,口服;

4. 出院后带药:100 毫升 0.9% 氯化钠中加入 1 毫升 5% 恩诺沙星和 5 毫克地塞米松,滴患耳,每次滴患耳约 5-10 滴,按摩 5-10 秒后多余药液甩出,擦拭甩出的药液,每天 1 次,使用一周。

中耳抽吸的分泌物(脓样外观):

一例猫霍纳氏综合征的诊断与治疗

分泌物镜检及细菌培养结果:镜检及培养无细菌。

一例猫霍纳氏综合征的诊断与治疗 一例猫霍纳氏综合征的诊断与治疗 一例猫霍纳氏综合征的诊断与治疗

1. 中耳“脓性”分泌物直接涂片镜检可见大量嗜中性粒细胞未见明显细菌;细菌培养阴性。

2. 术后出现明显头颈歪斜(向患侧),出院时有改善,未完全正常;

3. 出院时眼睛左眼仍表现霍纳氏综合征症状;

4. 出院一周后复查患侧耳道仍有些分泌物结痂;

5. 出院一个月后复查,垂直耳道清洁,眼睛仍未完全正常;

6. 5 个月后复诊,眼睛已经基本恢复正常。

一例猫霍纳氏综合征的诊断与治疗

霍纳氏综合征通常见于支配眼部的交感神经异常引起,症状包括瞳孔缩小、上眼脸下垂、眼球下陷、第三眼脸突出 [1]。患眼瞳孔缩小是霍纳氏综合征最常见的症状,是由于虹膜扩张肌失去神经支配而继发的 [2]。在眼睛上,交感神经的作用是扩张瞳孔、扩宽眼睑、使第三眼睑下降、使眼睛在眼眶里保持向前的位置。副交感神经的作用是收缩瞳孔、抬高第三眼睑以及将眼睛缩回以保护眼睛 [3]。两个系统同时工作,协调使得其中一个系统的支配处于主导地位。当控制一只眼睛的交感神经异常时,只有副交感神经起作用,就会表现霍纳氏综合征。狗的眼睑突出是被动的,继发于眼球突出 [4]。由于猫的第三眼睑内存在交感神经介导的平滑肌,因此猫的眼球突出还具有额外的主动成分 [5]。

支配眼睛的交感神经通路上任何位置损伤都会出现霍纳氏综合征,可根据病灶在交感神经通路上的位置分为第一节段(中枢)、第二段(节前)、第三节段(节后)[1]。

一例猫霍纳氏综合征的诊断与治疗

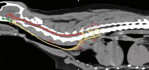
图中红色表示中枢节段。绿色表示节后节段。黄色是节前节段 [5]。

第一节段(中枢)神经元起源于下丘脑 [6],经过脑干,沿着颈段脊髓从第二胸椎进入胸腔。脑干或颈段脊髓的上运动神经元病灶较少引起霍纳氏综合征,但如继发于创伤、梗死、肿瘤或炎症性疾病时则可能出现。如果是中枢性病变,霍纳氏综合征不太可能是唯一的临床症状。总是伴有其他的神经功能异常症状,如共济失调、瘫痪 / 抽搐、姿势反应缺损 (脑干或脊髓病变)、精神状态改变和其他颅神经受累 ( 脑干病变)。

第二节段(节前)神经元从第 1-3 胸椎脊髓节腹侧神经根内离开脊髓,而后由脊神经形成胸段交感干,并在胸腔内向头侧延伸与胸交感干会和 [6]。在颈部,交感经轴突行走在迷走交感干内向头侧延伸,到达鼓泡附近,直到与颅颈神经节发生突触 [6]。第二节段神经元损伤可发生于颈膨大处 (C6-T2) 的脊髓损伤,常继发于创伤、梗死、肿瘤或炎症性疾病 [1]。受波及的动物会表现出受波及前肢的下运动神经元(lower motor neuron, LMN) 症状,同侧后肢的上运动神经元 (upper motor neuron, UMN) 症状,及霍纳氏综合征 [1]。

第三节段(节后)的交感神经支配路径为向后通过中耳鼓室枕骨裂 [6],进入中耳,并与舌咽 (CN9) 一同进入颅腔,在眼眶裂处离开颅腔并分布于眼眶周围平滑肌、上下眼脸、第三眼脸和虹膜肌肉。第三节段霍纳氏综合征常见于外伤、感染 / 炎症、肿瘤和特发性 [7]。

有资料显示当霍纳氏综合征出现超过 2-21 天 [8],就会出现继发于交感神经支配缺失的去神经超敏反应。基于神经支配超敏原理的药理测试可用于更精确地确定霍纳氏综合征患者的病变部位,但只能作为一种指导,因为结果会因病变发生的时间和病变的完整性而不同。

局部使用可卡因是区分霍纳氏综合征和其他原因引起的瞳孔缩小的金标准 [9]。向正常眼和患眼滴入一滴可卡因 (5-10%),可卡因会阻止节后神经元突触前膜对去甲肾上腺素的再吸收,从而导致瞳孔扩张 [10],患眼没有散瞳或散瞳很小,而另一只眼散瞳正常则可证实为霍纳氏综合征。尽管可卡因检测具有诊断作用,但是由于药物管制,所以难以获得,并且不能作为交感神经通路病变位置的定位,所以临床几乎不用该法。

局部使用稀释的苯肾上腺素可以鉴别神经节后霍纳氏综合征 [5]。0.1-1% 苯肾上腺素滴入双眼,可在 20 分钟内扩张瞳孔,缓解眼球突出、第三眼睑突出和上睑下垂,但却无法扩张正常犬科动物、猫科动物或马科动物的瞳孔或一阶或二阶霍纳氏综合征瞳孔 [11,12]。有资料建议,稀释后的浓度(<2.5%)更有利于作为判断节后异常的依据 [13]。使用稀释的溶液以确保只有超敏瞳孔才会有反应非常重要,因为即使是正常瞳孔在浓度较高时也会放大 [14,15,16]。如果瞳孔 20 分钟内均未散大,则使用高浓度 10% 苯肾上腺素滴入双眼中,如果两个眼的瞳孔均在 20~ 40 分钟内散大,则提示最有可能为节前神经异常。如果霍纳氏综合征是双侧的,双眼仍会有反应,异常体征也有望在 20 分钟内消失 [5]。苯肾上腺素并非所有病例中都准确,如果将其作为唯一的定位方法,可能会导致得出错误的结论。在临床中,建议对所有患病动物都应该进行高阶影像检查。在本病例中,由于药物短缺,使用的是复方制剂(5ml: 托比卡胺 25mg+ 盐酸去氧肾上腺素 25mg),双眼滴药,在 20 分钟内,双侧瞳孔均发生了散瞳,在同一时间,患眼散瞳程度对比正常眼睛略小,第三眼睑突出和上眼睑下垂均出现了明显的改善。由于该复方制剂包含散瞳剂,所以对瞳孔的评估是无效的,但是认为可能对第三眼睑和下眼睑症状的改善,可能与节后神经损伤有关,帮助建立了高阶影像的信心。

霍纳氏综合征的病因很多,但特发性疾病最为常见。辅助诊断包括耳镜检查、胸部 X 射线照相或高级成像。治疗和预后取决于病因,第三眼睑突出遮挡患者的视线时可局部使用 1% 或 10% 的苯肾上腺素进行对症治疗可在短期内改善症状 [17,18]。有些动物只有部分症状缓解,但可能瞳孔缩小会持续存在 [19]。当出现永久性体征异常时,仅影响外观,对患病动物的生活质量影响极小甚至没有影响。

关键词:第三眼睑突出 霍纳氏综合征 中耳炎 鼓泡切开术

【参考文献】

1.小动物内科学:第 5 版 /(美)Richard W. Nelson,(美)C. Guillermo Couto 主编;叶楠,夏兆飞,陈艳云,王姜维主译。中国:中国农业大学出版社,2019:941-943

2.Neer TM. Horner’s syndrome: Anatomy, diagnosis and causes. Compend Cont Educ Vet 1984;6:740–746.deLahunta A, Evans HE. Miller’s A

3.Murphy CJ, Samuelson DA, Pollock RVH. The eye. In: de Lahunta A, Evans HE, eds. Miller’s Anatomy of the Dog. 4th ed. St. Louis, Missouri: Saunders Elsevier, 2013:746–783.

4.Van den Broek AHM. Horner’s syndrome in cats and dogs: A review. J Small Anim Pract 1987;28:929–940. Jones SMP. Neuro-ophthalmology. Br V

5.Zwueste DM, Grahn BH. A review of Horner’s syndrome in small animals. Can Vet J. 2019;60:81-88.

6.De Risio L,Fraser McConnell J.Second order Horner’s syndrome in a cat.[J].J Feline Med Surg,2009,8:714-6.

7.Frye FL. Horner’s syndrome in a cat following cervical trauma. Vet Med Small Anim Clin 1973; 68: 754.

8.Penderis J. Diagnosis of Horner’s syndrome in dogs and cats. In Practice. 2015;37:107-119.

9.Kanagalingam S, Miller NR. Horner syndrome: Clinical perspectives. Eye Brain 2015;7:35–46. Gross JR, McClelland CM,

10.Gross JR, McClelland CM, Lee MS. An approach to anisocoria. Curr Opin Ophthalmol 2016;27:486–492. Smit DP. Pharmacological testing in H

11.Simpson KM, Williams DL, Cherubini GB. Neurpharmacological lesion localization in idiopathic Horner’s syndrome in Golden Retrievers and dogs of other breeds. Vet Ophthalmol 2015;18:1–5.

12.Zimmerman CF. Drugs for the diagnosis of pupillary disorders. In: Zimmerman TJ, Kooner KS, Sharir M, Fechtner RD, eds. Textbook of Ocular Pharmacology. Philadelphia, Pennsylvania: Lippincott-Raven Publishers, 1997:827–835.

13.Thompson HS, Mensher JH. Adrenergic mydriasis in Horner’s syndrome. Hydroxyamphetamine test for diagnosis of postganglionic defects. Am J Ophthalmol. 1971;72:472-480.

14.Kern TJ, Aromando MC, Erb HN. Horner’s syndrome in dogs and cats: 100 cases (1975–1985). J Am Vet Med Assoc 1989;195:369–373.

15.Neer TM. Horner’s syndrome: Anatomy, diagnosis and causes. Compend Cont Educ Vet 1984;6:740–746.

16.Simpson KM, Williams DL, Cherubini GB. Neurpharmacological lesion localization in idiopathic Horner’s syndrome in Golden Retrievers and dogs of other breeds. Vet Ophthalmol 2015;18:1–5.

17.Penderis J. Diagnosis of Horner’s syndrome in dogs and cats. In Pract 2015;37:107–119.

18.Boydell P. Idiopathic Horner’s syndrome in the Golden Retriever. J Small Anim Prac. 1995;36:382-384.

19.Morgan RV, Zanotti SW. Horner’s syndrome in dogs and cats: 49 cases (1980–1986). J Am Vet Med Assoc 1989;194:1096–1099.

版权声明: 本文内容为互联网用户自发分享,其中的观点仅代表作者个人及其所属单位。本站仅提供信息存储服务,不享有相关内容的所有权,并不承担相关法律责任。如果您认为本站存在涉嫌抄袭、侵权或违法违规的内容,请发送电子邮件至 pangmengshe@163.com 进行举报。一经核实,本站将立即采取删除措施,感谢您的理解与合作!

相关知识

一例猫霍纳氏综合征的诊断与治疗
一例哈士奇犬胰腺炎的诊断与治疗
一例猫感染小孢子菌(猫癣)的诊断与治疗病例
一例犬库兴氏综合症病例诊断
一例猫胆管性肝炎并发肝脏脂质沉积综合征的诊断与治疗
一例猫慢性心肾综合征的病例总结与分析
一例猫心肾综合征病例报告
一例猫急性心肾综合征的病例报告
犬库兴氏综合征
一例猫顽固性便秘和巨结肠症的诊断与治疗

网址: 一例猫霍纳氏综合征的诊断与治疗 https://m.mcbbbk.com/newsview415356.html

所属分类:萌宠日常
上一篇: 宠物狗外耳炎的病因及治疗
下一篇: 折耳猫一定会发病吗?折耳猫发病的