
作者:傅晓霞
点击阅读作者更多临床文献
摘要:心肾综合征是心肾功能在病理生理上的紊乱,心肾均为重要脏器,但二者的治疗方案却相悖,心脏需要“限水”,肾脏却需要“补水”,治疗此类疾病把握动态平衡是非常重要的。心肾综合征分为五类,本病例讲述的是1型心肾综合征的诊治:一只11月龄患有肥厚型心肌病的猫在治疗肺水肿的过程中出现肾前性氮质血症,经过调整用药,监测体重、CRT、LA/AO等指标,少量多次皮下补液,促进患宠自主进食,最终维持相对稳定后出院居家管理。以下为本病例的详细诊治过程。
关键词:心肾综合征;肥厚型心肌病;肺水肿;急性肾损伤;氮质血症;
1、病例信息
1.1 主诉及病史
美国短毛猫,雄性,未去势,11月龄,体重4.4 kg。
2024年2月4号宠主家中来了一些朋友做客,患猫一直躲在房间里没有出来,当天晚上患猫精神萎靡,没有食欲,2月5号早上宠主起床时发现患猫呼吸急促,且呼吸时腹部起伏明显,于是马上带到就近医院就诊。当地医院拍摄X线片,怀疑是肺水肿,于是安排吸氧同时给予利尿剂,吸氧后患猫呼吸稍有平缓,注射呋塞米一个小时后未见排尿,但由于当地医院无法诊治猫心肌病,因此宠主驱车2小时从外地将患猫转诊至我院。
单猫室内饲养,主食为冠能全价猫粮、罐头、冻干、猫条为主,免疫齐全,2-3个月做一次体内外驱虫,上一次驱虫是2个月前,在此之前患猫无其他病史,也未做过体检,精神食欲排泄均未见异常。
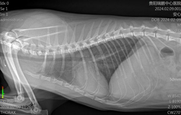
以下为外院提供的X线片,从X线片可见胸腔整体不投射性增加,心影轮廓不清,心脏增大,正位心脏呈”情人心“;肺前动静脉扩张,前腹侧和后腹侧可见混合肺泡型,怀疑肺炎、肺水肿、肺出血等;心脏略增大、心尖钝圆,需结合超声心动图诊断。


2、临床检查
2.1 一般检查
BCS5/9,MCS未见肌肉丢失,W:4.4kg,T:38℃,Hr:200bpm,R:102次/min,P:125/67/78mmHg;精神沉郁,对外界反应略迟缓;路途中患猫在笼内尿垫上小便一次,尿液颜色为稻草色,后半身毛发潮湿;眼口鼻耳洁净,可视粘膜粉,在紧张激动时发绀;呼吸急促,呼气时间延长,端坐呼吸,鼻翼煽动,肺部呼吸音粗粝,全肺区湿罗音;腹部触诊,膀胱充盈不足(来的路上小便一次),双肾大小适中,胃肠空虚,有少量成型粪便;体表淋巴结未见肿大,被毛光滑,皮肤弹性轻度下降,脱水6%,体表及四肢躯干未见明显异常,无神经症状。
2.2 实验室检查
2.2.1 NT-proBNP(2.05)

结果提示:显著升高,提示心肌受牵拉,心肌压力增大,结合临床及X线片高度怀疑充血性心力衰竭。
2.2.2 血常规(2.06)

结果提示:血常规未见明显贫血、全身性炎症感染、血小板数值异常;血红蛋白轻度升高,可能与轻度脱水或应激有关。
2.2.3 SAA(2.06)

结果提示:机体暂未存在显著急性期炎症反应。
2.2.4 生化(2.06)

结果提示:暂未见明显血糖、蛋白、基础肝肾指标异常,尿素氮升高怀疑与机体轻度脱水有关,肾前性氮质血症。
2.2.5 血气(2.06)

结果提示:PH升高,血液呈碱性,代谢性碱中毒,有呼吸代偿,代碱考虑与利尿剂及脱水有关;钠离子与氯离子下降,与利尿后丢失,进食量减少有关;BUN升高,提示氮质血症;血红蛋白轻度升高与脱水有关。
2.2.6心电图(2.05)

结果提示:窦性心律,心电轴右偏,不完全性右束支传导阻滞。
2.3 影像学检查
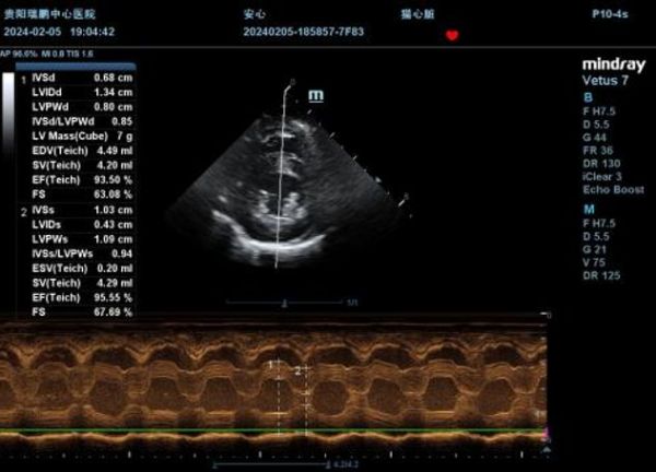
2.3.1 T-Fast(2.05)





结果提示:
①肺脏可见大面积Bline,提示湿肺(肺水肿、肺炎、肺出血);
②舒张末期室间隔及左室游离壁厚度超过0.60m(IVSTD:0.68cm、LVPWd:0.80cm),提示猫肥厚型心肌病;结合DR可见肺水肿,提示猫肥厚型心肌病充血性心力衰竭,HCM C期;
③LA/AO=2.36,提示左心房严重扩张,压力、容积过负荷;左心耳扩张,有较大血栓形成风险;
④少量心包积液。
3 诊断
根据患猫的病史及临床表现,实验室检查中可见炎症指标正常,暂时不考虑严重的肺部感染,排除感染性肺炎、异物性肺炎;无创伤病史,排除肺挫伤、肺出血;NT-proBNP显著升高,结合影像学中可见心脏增大,肺水肿,心肌肥厚,左心房扩张等指标,可诊断为猫肥厚型心肌病引起充血性心力衰竭,心源性肺水肿,同时由于利尿、饮食饮水不足存引起机体离子紊乱、肾前性氮质血症。虽然机体已经存在轻度脱水的情况,进一步脱水可能加重肾脏损伤,但当前患猫的肺水肿严重危及生命,只能使用继续利尿剂降低机体灌注,降低左心房压力,促进肺脏液体代谢,大多数情况这种肾损伤是可以快速纠正的。
4 治疗
4.1 急性肺水肿的治疗
该阶段的治疗目标为:快速解决患猫的呼吸窘迫,使其呼吸恢复至正常范围,恢复正常的精神食欲;防止血栓形成,增强心功能,尽可能减轻低心输出量及过度脱水引起肾损伤风险;
具体治疗用药:
①0.4mg/kg布托啡诺 iv. qid,缓解呼吸焦虑,减少应激反应;
②2mg/kg呋塞米 iv,到店后注射一次,观察一小时内有无排尿,若未排尿追加一次,若有排尿,且呼吸频率稳定下降,可以6h注射一次;
给药后患猫一小时内小便一次,呼吸频率从102次/min下降至90次/min,但仍旧端坐呼吸,腹式呼吸,瞳孔放大,于是2h后注射第二次呋塞米。呼吸频率缓慢下降,4小时后维持在80次/min,呼吸窘迫的情况逐渐改善,可以增加口服药物;
③10mg/kg加巴喷丁 po bid,由于患猫较为应激,对外界刺激反应较大,于是给予抗应激的口服药使其相对放松的状态,避免患猫过于紧张心跳过快加重肺水肿;
④0.25mg/kg 匹莫苯丹 bid;由于T-Fast扫查时,几乎未见左心房正常收缩,因此给予匹莫苯丹增加及心肌收缩,增加心输出量;
加巴喷丁起效后,患猫主动饮水,期间有过1次小便,之后患猫呼吸基本一直维持在70次/min,没有食欲。考虑到呋塞米对部分患猫利尿的效果比较差,为了降低呼吸频率,因此将降低呋塞米剂量,增加托拉塞米 ;
⑤1mg 托拉塞米 po sid,强效利尿;
增加托拉塞米后,患猫呼吸保持在50-70次/min,精神明显改善,且开始自主少量进食,由于饮水较少,肺水肿时又不宜输液,因此纠正脱水主要以喂食湿粮,人工喂水为主,约3-4小时喂水20ml。
⑥18.75mg 氯吡格雷 po sid,预防血栓形成;
⑦125-250mg氯化钾缓释片 po bid,频繁利尿会引起钾离子丢失,通过口服钾片补充钾离子。
4.2 病情变化
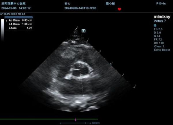
2月6日、2月7号患猫按时用药,病情稳定,呼吸均在50-60次/min之间,浅快,精神良好,小便顺畅,主动进食,主要提供的是鸡胸肉、猫条、全价猫罐头等食物,让患猫自由采食。由于利尿剂的缘故,脱水还在加重,患猫体重从4.4kg下降至4kg,复查心脏超声,可见LA/AO=1.27,左房明显减小,考虑与脱水有关,保持手动喂水,将呋塞米减量至1mg/kg iv bid,其他药物保持不变。
2月7号晚上患猫呼吸降至25-35次/min,但精神萎靡,没有食欲,人工喂水时剧烈反抗,流涎,于是停止人工喂水,呕吐一次黄色粘液。
2月8号凌晨患猫再次呕吐,这一次呕吐物明显带血,于是复查关键指标,如下:

呕吐带血粘液
4.2.1 心超(2.06)

结果提示:LA/AO=1.27,对比2月5号左房明显变小,与利尿后脱水有关。
4.2.2 生化(2.08)

结果提示:肌酐、尿素氮、磷均升高,结合病史提示急性肾损伤。
4.2.3 血气(2.08)

结果提示:PH在正常范围内,但混合存在呼吸性酸中毒及代谢性碱中毒,与利尿、脱水、肺脏通气障碍均有关系;钠离子依旧偏低;尿素氮较上一次显著升高,红细胞压积及血红蛋白也有升高,均与脱水进一步加重有关。
由于脱水进一步加剧,加重了氮质血症,且急性心力衰竭导致肾灌不足,引起了急性肾损伤及胃肠炎,调整用药:
①1mg/kg 马罗匹坦 sc sid,止吐、抑制恶心;
②2mg/kg 奥美拉唑 sc sid,抑制胃酸过度分泌;
③0.1ml/kg 维生素B sc sid,促进食欲;
④1mg 托拉塞米 po sid,利尿;
⑤18.75mg 氯吡格雷 po sid,抗血栓;
⑥0.25mg/kg 匹莫苯丹 po bid,正性心力;
⑦10mg/kg 加巴喷丁 po bid,抗应激;
⑧125mg 氯化钾缓释片 po bid,防止低血钾;
⑨i 、30ml 乳酸钠林格 皮下补液,q4h,纠正水合,根据患猫脱水情况、呼吸频率、体重变化控制补液频率及补液量;
调整用药后,患猫未见呕吐,但食欲依旧比较差,精神萎靡,嗜睡,尿量减少。肥厚型心肌病需要尽量避免静脉输液,否则很容易再次肺水肿,因此在无法经口喂食时,主要通过皮下补液纠正脱水,待愿意自主进食后,喂2mg/只 每天或隔天一次的米氮平促进食欲,促进其增加饮水及肠内营养。
2月9号患猫食欲逐渐恢复,精神状态好转,呼吸次数约26次/min,复查生化及胸腔X线片结果如下:
4.2.4 生化(2.09)

结果提示:可见肌酐、磷下降至正常范围,提示肾损伤改善;
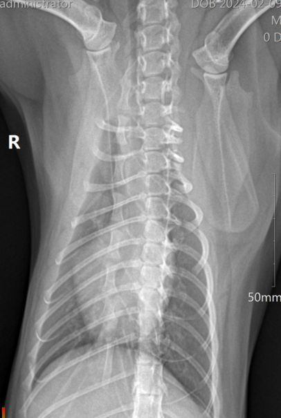
4.2.5 胸腔X线光(2.09)


结果提示:X线片可见肺水肿已经明显改善。
2月10号至2月11号患猫基本食欲恢复正常,但饮水量较少,体重4.25kg,皮下补液改为一天两次,一次30ml,呼吸有加快,次数约40-50次min,复查肾指标如下:
4.2.6 生化(2.10)

结果提示:肌酐持续下降,提示肾功能进一步恢复;尿素氮升高,提示脱水。
2月12号停止皮下补液,13号呼吸频率再次加快至90次/min,T-Fast可见左心房扩张,LA/AO=2.13,少量心包积液,肺脏可见B线,提示肺水肿,于是在口服药的基础上增加呋塞米注射液,2mg/kg,一天两次,这一次患猫虽然脱水,但整体精神食欲比较良好,未再次出现严重的氮质血症,肺水肿得到控制后,于2月15号顺利出院,居家口服托拉塞米、氯吡格雷、匹莫苯丹,定期复查。
5 总结与讨论
5.1 什么是犬猫心肾综合症
犬猫心肾综合症指的是急性或慢性的,原发于心脏或肾脏的功能损伤、衰竭,或二者同时发生,其中一方对另一方产生负面作用,造成两个系统之间正常交互关系被破坏,从而出现二者结构或功能性损伤的复杂疾病。
心肾综合症分为5类:
1型心肾综合征(急性心肾综合征)或心血管肾轴疾病H(不稳定疾病),例如急性心力衰竭、心源性休克引起的急性肾损伤;
2型心肾综合征(慢性心肾综合征)或心血管肾轴障碍H(稳定),例如慢性心力衰竭引起的长期低灌注、RAAS系统及交感神经激活、内皮功能受损和炎症导致的进行性慢性肾病;
3型心肾综合征(急性肾心综合征)或心血管-肾轴疾病k(U),例如急性肾衰竭引发的高血钾症、尿毒症、电解质失衡等引起的急性心功能障碍;
4型心肾综合征(慢性肾心综合征)或心血管-肾轴疾病k(S),例如慢性肾病出现的肾小球肾炎、贫血、全身性高血压导致的慢性心功能不全;
5型心肾综合征(继发性心肾综合征)或心血或心血管-肾轴疾病,例如子宫蓄脓、糖尿病等全身性疾病继发的心肾功能不全。
心肾综合症的治疗管理充满了挑战性,一方面是涉及到了复杂的血液动力学及神经内分泌学,其原理目前尚未完全得到证实。其中一部分已经明确的影响因素包括:肾素-血管紧张素-醛固酮系统(RAAS)、交感神经系统的激活、氧化应激增加、内皮系统功能不全和一氧化氮代谢缺陷等。另一方面是二者的治疗原则几乎是相互对立的,用药也可能会对彼此产生不良的结果。例如,在出现急性肾损伤时,应该需要大量补液,但是如果同时存在心脏问题,液体治疗就需要再三斟酌,否则可能诱发充血性心力衰竭;再例如,心脏病的治疗中往往需要用到呋塞米、贝那普利等药物,但对于存在肾病的动物,利尿剂可能加重氮质血症,引起肾脏灌注不良;贝那普利可能会因为降低肾小球内压,引起肾小球滤过率下降等。因此出现心肾综合症中在二者之间寻找平衡是治疗本病的要点。
本病例中,患猫通过心脏超声发现心肌明显增厚(0.68cm-0.80cm),左心房扩张(LA/AO=2.36),NT-proBNP显著升高(>1500pmol/l),X线片可见肺水肿,确诊猫肥厚型心肌病,并激发了充血性心力衰竭,在治疗期间患猫出现生化肌酐、尿素氮等肾指标持续升高,最终出现呕吐、厌食等临床症状,在经不断调节补液-利尿之间的平衡之后,将心脏与肾脏二者的交互维持相对稳定水平。根据发病原理可归为1型心肾综合征(急性心肾综合征)。
5.2 急性心肾综合症的治疗
急性心力衰竭时,由于心输出量的下降、利尿剂引起的血容量降低、进食量的减少,加重了肾前灌注不足,引起了急性肾损伤。肾血流灌注压不足导致传入小动脉肾小球旁细胞释放肾素增加,进而触发肾素-血管紧张素-醛固酮系统(RAAS)、交感神经系统(SNS)激活以及血管加压素释放。这些因素导致液体潴留、前负荷增加、肾功能进一步恶化及心衰加重。其中RAAS系统是体内最强大的内分泌系统之一,与交感神经系统共同通过血管紧张素II来收缩血管和增加钠水潴留来保证重要器官的灌注,在急性心肾综合症的初期,RAAS系统是有利的,是一种自救行为,但随着肾脏灌注不足的持续恶化,RAAS系统就会被过度激活,导致血管收缩和不适当的钠和液体滞留,加重充血性心力衰竭。
临床上,1型和2型心肾综合症,主要会考虑治疗心脏疾病为主,必要时会暂时牺牲一部分肾脏的功能,此到达稳定心脏容积、压力稳定的目的。在本病例的治疗过程中,由于患猫到店时表现为极度的呼吸窘迫,解决肺水肿是首要的问题,因此即便患猫体格检查处于脱水的状态,尿素氮已有升高的趋势,也主要以强心、利尿为主要治疗方案,因为大多数时候没有其他并发症的前提下引起的氮质血症都是可以快速纠正的。在患猫呼吸频率逐渐下降,缺氧情况好转,却出现了因为脱水和容积减少引发的急性肾损伤导致的胃肠溃疡,此时应该将侧重点放在不过度加重心脏负荷的前提下,纠正机体水合,增加肾脏灌流,使肾损伤不要再进一步加重。尽早纠正肾脏及胃肠道损伤,有助于促进患猫自主进食,经口给药,口服心脏病药物可以帮助心脏问题尽快恢复。因此需要每日监测患猫体重及尿量变化,通过心超监测左心房大小变化,降低利尿剂的剂量,少量多次皮下补液,避免过度补液,同时给予保护胃肠道的药物,帮助患猫尽快恢复。在患猫饮食逐渐恢复后,由于液体的潴留,再次引发了心源性肺水肿,好在经过增加利尿剂后得以恢复。可见达到心肾平衡的点非常微妙,需要找到合适的利尿剂的剂量,尽可能在不损害肾脏功能的前提下,达到可以控制充血性心力衰竭的最低剂量。
本病例中,使用了对猫肥厚型心肌病具有一定争议性的匹莫苯丹以增加心输出量,一方面原因是在首次进行心脏超声扫查时,发现左心房几乎未见正常收缩,匹莫苯丹可以作为正性心力药物改善左心房及左心室的收缩舒张功能。另一方面,虽然尚未明确正性心力药物对心肾综合症的患猫的作用,但是正性心力药物可以增加心输出量,改善氮质血症,增加肾脏血流,甚至有一定概率可以帮助降低利尿剂的使用,因此使用匹莫苯丹对肾指标不断升高的患宠是有一定帮助的。但如果是阻塞型的肥厚型心肌病,匹莫苯丹可能会加重左室流出道梗阻,应该慎重使用。
5.3 急性心肾综合症的营养管理
合理的饮食管理在急性心肾综合症的治疗中也是必不可少的一环,在出现心力衰竭伴随着脱水的情况下,自主进食饮水可以很好的帮助患猫纠正脱水,纠正利尿剂带来的低血钾,远比静脉输液、皮下补液带来的风险要低得多。因此在肺水肿有所改善之后,一定要鼓励患猫自主进食。由于高钠会引起钠水潴留,急性发作期建议患猫摄入钠含量不高于0.25%-0.33%干物质的日粮,例如希尔斯或皇家的肾病处方罐头。在刺激患猫食欲时,也应该避免饲喂钠含量过高的零食。当然当患猫完全没有食欲的时候,钠的限制可能也显得不是这么重要,积极的进食会比完全不吃东西更有利于病情的恢复,可以考虑在病情稳定后再开始低钠饮食。需要注意的是,过度限制钠的摄入也可能会激活RAAS系统,引起心肌重塑。
建议宠主注意在日常饮食中增加钾和ω-3不饱和脂肪酸,因为利尿剂会引起低血钾,低血钾会出现肌无力及厌食,及时补充钾离子可以有效改善这种情况;ω-3不饱和脂肪酸的补充对心脏及肾脏都有很多好处,例如抗炎、改善食欲、保护心脏和肾脏。
5.4 关于急性心肾综合症的预后
本病例中,由于未出现其他并发症,仅是心源性肺水肿及肾前性氮质血症,在控制住了肺水肿的情况下,一般肾前性的问题通过患宠主动进食或是液体治疗,大多数可以纠正,短期内预后良好。但笔者也接诊过一些并发血栓的案例,例如一例猫肥厚型心肌病心源性肺水肿并发双肾血栓,从少尿快速发展至无尿期;一例猫肥厚型心肌病主动脉分叉处栓塞,急性肾损伤,再灌注综合征,严重高血钾等,预后极差。这样的病例即便积极的治疗仍是快速死亡,或是过于痛苦宠主选择安乐,是非常让人沮丧的事情。
参考文献:点击查看
本站信息仅供参考、不作为诊断及临床依据,本站转载或引用文章如涉及版权问题,请速与我们联系,对此造成的不便深表歉意!
近期实操课程安排

点击图片了解更多课程详情
今日课程预告
临床营养门诊与行为学门诊:犬猫摄食行为与异常表现&临床营养门诊与肿瘤专科门诊:肿瘤病患宠主常见营养误区与沟通技巧
本节课程先由唐娜老师带来《临床营养门诊与行为学门诊:犬猫摄食行为与异常表现》,接下来由孙悦老师带来《临床营养门诊与肿瘤专科门诊:肿瘤病患宠主常见营养误区与沟通技巧》。
延 伸 阅 读
猫肥厚型心肌病——治疗与预后
猫肥厚型心肌病——病因与临床诊断
一例系统性诊断犬肥厚性心肌病的病例报告
犬猫心脏病最新进展——HCM的影像学与诊断策略进展

相关知识
一例猫急性心肾综合征的病例报告
一例猫心肾综合征病例分析
一例猫慢性心肾综合征的病例总结与分析
回顾丨一例猫心肾综合征病例分析
一例猫急性肾损伤的诊治报告
IDBIVET犬猫肾病大赛季军病例|一例猫急性肾损伤的病例报告
一例犬睑腺炎的病例诊治报告
一例猫接种猫三联疫苗过敏的病例分析
一例犬蛋白尿的病例报告
一例自发性膀胱炎引起猫尿闭致急性肾衰的诊疗
网址: 一例猫急性心肾综合征的病例报告 https://m.mcbbbk.com/newsview125820.html
| 上一篇: 小狗太胖也要运动减肥 动物医院推 |
下一篇: 阿闻宠物医生的抖音 |