犬猫胆囊超声基础知识【宠物医疗影像学吧】
u80c6u56cau6269u5f20u4e14u4f34u6709u4f4eu56deu58f0u7c98u6db2u79efu805au7684u53efu5f52u7c7bu4e3au80c6u56cau7c98u6db2u56cau80bfuff0cu4f46u4e5fu53efu5f52u7c7bu4e3au80c6u6c41u51ddu56fau3001u7c98u6db2u6027u589eu751fu3001u56cau6027u589eu751fu548cu5176u4ed6u76f8u5173u75c5u75c7u3002u80c6u56cau7c98u6db2u56cau80bfu5728u8001u5e74u5c0fu578bu72acu4e2du66f4u5e38u89c1uff0cu5728u732bu4e2du5f88u5c11u89c1u3002u80c6u56cau7c98u6db2u56cau80bfu7684u5f62u6210u662fu4e00u4e2au8fdeu7eedu7684u8fc7u7a0buff0cu4eceu80c6u6c41u4ea7u56deu58f0u5f00u59cbuff0cu7136u540eu662fu661fu72b6u56feu6848uff0cu6700u540eu662fu7315u7334u6843u5f81uff08u5373uff0cu4f4eu56deu58f0u7c98u6db2u7684u5706u5f62u5806u79efuff0cu542bu6709u7ec6u7684u661fu72b6u9ad8u56deu58f0u6761u7eb9uff09u3002u7c98u6db2u56cau80bfu7684u786eu5207u75c5u56e0u76eeu524du4ecdu5b58u5728u4e89u8baeu3002u4f46u5176u4e34u5e8au91cdu8981u6027u5f88u91cdu8981uff0cu56e0u4e3au5b83u4eecu53efu5bfcu81f4u80c6u56cau7834u88c2u3001u80c6u6c41u6027u8179u819cu708eu3002
u809du7ec6u80deu7ec6u80deu819cu5185u6709u4e00u79cdu86cbu767du8d28uff0cu5b83u662fu5c06u78f7u8102u4eceu809du7ec6u80deu8f6cu79fbu5230u80c6u7ba1u6240u5fc5u9700u7684u3002u6ca1u6709u78f7u8102u7684u4fddu62a4u4f5cu7528uff0cu80c6u6c41u76d0u4f1au5f15u8d77u80c6u56cau58c1u7684u6162u6027u523au6fc0u5e76u5bfcu81f4u7c98u6db2u4ea7u751fu589eu52a0u3002u56e0u6b64uff0cu53efu80fdu5bfcu81f4u7c98u6db2u56cau80bfu3002u4e00u4e9bu75beu75c5u4f1au5bfcu81f4u80c6u56cau7c98u6db2u56cau80bfu7684u5f62u6210uff1au7532u72b6u817au529fu80fdu51cfu9000u75c7u3001u5e93u5174u6c0fu7efcu5408u5f81u3001u708eu6027u80a0u75c5u548cu9ad8u8102u8840u75c7u3002
u6709u62a5u544au6307u51fauff0cu5927u7ea6 75% u7684u60a3u6709u80c6u56cau7c98u6db2u56cau80bfu7684u72d7u5728u8840u6db2u68c0u67e5u4e2du7684 ALTu3001ALP u548c GGT u5347u9ad8u3002u9664u4e86u7c98u6db2u56cau80bfuff0cu72d7u7684u80c6u56cau8fd8u53efu80fdu56e0u4ee5u4e0bu539fu56e0u963bu585euff1au2460u5404u79cdu533au57dfu7684u764cu75c7uff0cu5305u62ecu4f46u4e0du9650u4e8eu80f0u817au548cu809du810fuff1bu2461u9ad8u8102u80aau996eu98dfu53efu80fdu5bfcu81f4uff1bu2462u80c6u6c41u4e2du80c6u56fau9187u6c34u5e73u8fc7u9971u548cuff1bu2463u80f0u817au708eu5f15u8d77u7684u8840u6db2u4e2du8102u80aau8fc7u591auff1bu2464u80c6u56cau6536u7f29u6027u6709u95eeu9898uff0cu80c6u7ed3u77f3u3002
u80c6u56cau9ecfu6db2u56cau80bfu6709u9057u4f20u6027uff0cu5982u4e0bu9762u63d0u5230u7684u4e00u4e9bu54c1u79cduff0cu66f4u5bb9u6613u51fau73b0u80c6u56cau7c98u6db2u56cau80bfuff1au53efu5361u3001u535au7f8eu3001u96eau7eb3u745eu3001u5409u5a03u5a03u3001u8bbeu5f97u5170u7fa4u5c9bu7267u7f8au72acu3002
u72d7u72d7u80c6u56cau95eeu9898u5e38u89c1u75c7u72b6uff1au8179u75dbu3001u98dfu6b32u4e0du632fu3001u5455u5410u3001u8179u6cfbu3001u9ec4u75b8uff08u773cu775bu3001u76aeu80a4u548cu7c98u819cuff08u5982u7259u9f88uff09u5448u9ec4u8272uff09u3001u53d1u70e7u3001u80c3u6e83u75a1uff0cu5455u5410u7269u5448u9c9cu7ea2u8272uff0cu5927u4fbfu5448u6df1u9ed1u8272u3001u751fu5316u809du6307u6807u5f02u5e38u7b49u3002
u672cu6587u6458u81ea-u5ba0u7269u5f71u50cfu5faeu8bfeu5802","isPlus":0,"builderId":733198277,"post_no":1,"type":"0","comment_num":0,"is_fold":0,"props":null,"post_index":0,"pb_tpoint":null}}" data-pid="142106024607" id="j_p_postlist">
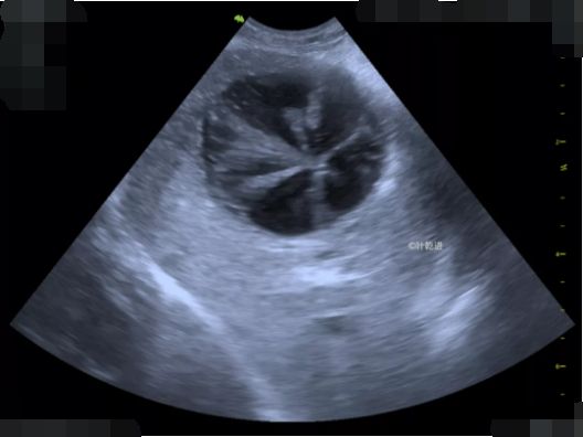
胆囊含有无回声胆汁且壁薄(猫约1 毫米;狗≤ 2mm)。在猫中,偶尔出现双叶胆囊是正常的。胆汁通常是无回声的,但不同程度回声的胆沙可能是悬浮颗粒或沉淀性的内容物在胆囊中积聚。产回声性内容物有时可能是偶然的,并不一定与胆道疾病有关。如果胆囊分泌过多的胆汁和粘液并肿胀或膨胀,就会发生胆囊粘液囊肿。胆汁受阻,无法正常流动并发挥作用
胆囊扩张且伴有低回声粘液积聚的可归类为胆囊粘液囊肿,但也可归类为胆汁凝固、粘液性增生、囊性增生和其他相关病症。胆囊粘液囊肿在老年小型犬中更常见,在猫中很少见。胆囊粘液囊肿的形成是一个连续的过程,从胆汁产回声开始,然后是星状图案,最后是猕猴桃征(即,低回声粘液的圆形堆积,含有细的星状高回声条纹)。粘液囊肿的确切病因目前仍存在争议。但其临床重要性很重要,因为它们可导致胆囊破裂、胆汁性腹膜炎。
肝细胞细胞膜内有一种蛋白质,它是将磷脂从肝细胞转移到胆管所必需的。没有磷脂的保护作用,胆汁盐会引起胆囊壁的慢性刺激并导致粘液产生增加。因此,可能导致粘液囊肿。一些疾病会导致胆囊粘液囊肿的形成:甲状腺功能减退症、库兴氏综合征、炎性肠病和高脂血症。
有报告指出,大约 75% 的患有胆囊粘液囊肿的狗在血液检查中的 ALT、ALP 和 GGT 升高。除了粘液囊肿,狗的胆囊还可能因以下原因阻塞:①各种区域的癌症,包括但不限于胰腺和肝脏;②高脂肪饮食可能导致;③胆汁中胆固醇水平过饱和;④胰腺炎引起的血液中脂肪过多;⑤胆囊收缩性有问题,胆结石。
胆囊黏液囊肿有遗传性,如下面提到的一些品种,更容易出现胆囊粘液囊肿:可卡、博美、雪纳瑞、吉娃娃、设得兰群岛牧羊犬。
狗狗胆囊问题常见症状:腹痛、食欲不振、呕吐、腹泻、黄疸(眼睛、皮肤和粘膜(如牙龈)呈黄色)、发烧、胃溃疡,呕吐物呈鲜红色,大便呈深黑色、生化肝指标异常等。

本文摘自-宠物影像微课堂
1楼2021-11-18 10:31回复
相关知识
犬猫胆囊超声基础知识【宠物医疗影像学吧】
0犬猫肝胆超声检查
0犬猫就肝胆超声检查.ppt
从零开始学超声 I 犬猫腹部超声大不同
兽医培训 超声诊断 小动物影像学 犬猫超声学 基础入门教学视频讲座
犬猫胃肠道的超声影像差异
一例犬胆囊粘液性囊肿的诊断和治疗
犬猫胃肠道异物的超声影像学诊断
宠物肝脏的超声检查
犬胆囊粘液囊肿伴发紫癜病例报告
网址: 犬猫胆囊超声基础知识【宠物医疗影像学吧】 https://m.mcbbbk.com/newsview351995.html