
投稿作者:宋坤
1. 动物基本信息
5岁雄性已去势田园猫,因精神状态萎靡、厌食、呕吐前来就诊,驱虫和免疫齐全。
2. 体格检查
精神较差,体温36℃,CRT>2s,牙龈颜色苍白,皮肤轻度黄染;呼吸次数约60次/min,心率约150次/min;收缩压147mmHg,BCS为3/9,脱水程度约8%。
3. 问题列表
呕吐、低温、呼吸频率快、牙龈苍白、黄疸
4. 鉴别诊断
胃肠炎、胰腺炎、溶血性疾病、心衰
5. 初步诊断计划
血常规、生化检查、fPL检查、DR检查、超声检查
6. 初步检查结果
表1 血常规检查结果

表2 生化检查结果


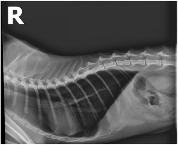
图1 胸部DR

图2 左侧肾脏超声 图3肝脏超声
表3 fPL检查结果

7. 初步检查结果分析
7.1 血液学检查
血常规显示白细胞升高,其中嗜中性粒细胞升高,嗜酸性粒细胞下降,血涂片未见核左移,符合“应激性白细胞像”。
7.2 生化结果
肾指标肌酐及尿素氮升高,存在轻度氮质血症,可能的原因包括肾前性、肾性及肾后性原因,总胆红素升高,可能的原因包括肝前性及肝性和肝后性原因,但是血常规未见明显红细胞下降、生化肝指标正常排除肝性原因,胰腺炎结果阴性,所以本病例黄疸原因待查,可能需要活检确诊;血糖高可能和应激反应有关,低血磷可能和摄入食物不足有关。
7.3 影像学检查
X线胸腔侧位片可以看到肺前叶动静脉有增粗表现,同时肺后叶有液体渗出表现,腹部超声可以明显看到肝静脉有扩张表现,双肾形态未见明显异常,同时下泌尿道未见梗阻迹象。
8. 初步诊断
结合动物目前存在低温、影像检查强烈怀疑存在心脏问题,氮质血症怀疑肾前性原因引起,建议心脏超声做进一步诊断。
9. 进一步诊断结果

图4:右侧长轴四腔心 图5:右侧长轴四腔心

图6:右侧长轴五腔心
9.1 心脏超声结果分析
心超M-mode可见左心室舒张末期室中隔厚度约6.8mm,左室壁厚度约:7.8mm,均超过6 mm,提示肥厚性心肌病;左心房与主动脉内径比值约1.9(正常<1.5),提示左心房扩张,左心前负荷升高,有比较高的肺水肿风险。另外房间隔处存在左向右分流,存在房间隔缺损的情况,同时在心脏周围可见少量游离液性暗区,提示存在胸腔积液。
10. 最终诊断
根据动物病史、血液检查及影像学检查,患猫诊断为肥厚性心肌病伴发ASD引发的急性心衰,因动物存在房间隔缺损,心房内血液出现左向右的分流,在一定程度上减轻和削弱了左心前负荷,减少了肺水肿的风险,但是分流的后果是加重了右心房负担,造成右心前负荷升高,腔静脉高压,进而引起肝脾出现淤血风险增加,消化器官机能下降,因心脏输出量下降,进而引起了肾前性氮质血症,但本病例中黄疸原因不详。当天动物主人因个人原因未进行治疗,第2天又重新带动物复诊考虑进行住院治疗。
11. 治疗
第2天就诊检测血气
表4 血气检查结果

血气结果可见明显氮质血症,较昨天明显升高,考虑急性心衰引起肾脏灌流量下降引起急性肾损伤(心肾综合征1型),轻微高血糖可能和应激反应有关。因动物脱水情况严重,最开始治疗时并未给予速尿,而是考虑先进行缓慢补液纠正水合状态,这里给与120ml乳酸林格晶体液24小时缓慢补液,同时给动物进行喂食安贝康复营养餐及喂水,同时进行吸氧治疗,药物给予匹莫苯丹和氯吡格雷,观察动物呼吸频率并追踪胸片。

图7:住院第2天胸腔影像(左)
图8:住院第4天胸腔影像(右)
影像显示入院第2天时肺部渗出减少,仍存在少量胸水。第4天胸水有轻微增加,不过动物住院期间精神状态明显缓解,食欲好转,呼吸频率未见明显加快;黄疸消退,不排除入院时高胆红素血症是厌食引起的。入院第4天时因胸水有轻微增加,所以开始停止输液并进行利尿治疗,静推速尿8mg。
表5 住院第4天生化肾功能复查结果

生化结果显示肾功能指标有明显好转,钠离子升高明显考虑因为急性心衰引起肾脏灌流量下降,继而引起肾素-血管紧张素-醛固酮系统被激活,进而引起钠离子被重吸收有关。考虑到当天动物精神状态好转,食欲好转,建议回家进行药物管理,匹莫苯丹1mg bid、氯吡格雷18.75 mg sid、托拉塞米0.8 mg sid、米氮平 3.75mg,72h一次。2周后复查。
出院2周后复查

图10 胸腔侧位
表6 生化肾功能复查结果
12. 复查结果分析
12.1 胸腔X线
肺野清晰,肺静脉未见增粗,胸水消失。
12.2 生化检查结果
尿素氮、肌酐,血钙明显升高,可能和肾衰及利尿剂引起的肾前性脱水有关,建议可以停利尿剂一段时间,其他药物正常使用,之后定期来院复查监测
13. 讨论
心肌病和慢性肾病是老年猫常见的疾病,由于二者均为富含血管的器官,而且均受交感神经和副交感神经的调节支配,所以动物合并存在心脏和肾功能不全时,机体会通过复杂的神经激素反馈机制加剧机体这两个系统衰竭的进程,在人类医学上,心肾综合征分类通常分为5型,1型是由于心脏功能急剧恶化导致的急性肾损伤,2型是由于心脏功能慢性异常导致渐进性和永久性慢性肾病。3型是因为肾功能急剧恶化导致的心脏疾病,比如公猫尿闭时出现肾功能急剧恶化,水钠潴留,高血压、酸中毒和氮质血症导致心肌收缩力降低,高血钾引起心律失常。4型属于慢性肾心综合征,动物处于慢性肾病状态时,肾小球滤过率下降,高血压进而引起心肌肥厚,继而引起心脏收缩和舒张功能出现障碍。5型属于全身疾病(如糖尿病、败血症)导致的心脏和肾脏功能不全。
心肾综合征发病机制尚未完全明确,交感神经系统激活是心肾综合征快速发展的原因,肾素-血管紧张素-醛固酮系统作为中间桥梁,最终引起血管内皮功能损伤。这类疾病治疗难点,主要在于平衡两个对容量需求相反的器官。当动物出现心衰时,静脉系统是淤血的,外周水肿、肺水肿、浆膜腔积液,如同沼泽地带,需要让机体变得干一些,需要排水;但同时动脉系统又是缺血的,表现为有效动脉循环血量相对或绝对不足,肾及多器官灌注差,如同沙漠地带,则需要让机体湿一些,如果单纯过度利尿会导致严重的低血压和肾功能恶化。所以治疗的核心目标,就是要找到需要变干的心脏和需要水分的肾脏之间的平衡。在本病例中在治疗初期因为动物脱水情况严重,肺水肿和胸腔积液的情况没有非常严重,所以没有使用大量利尿剂,而是进行缓慢补液纠正动物体液平衡,同时观察呼吸频率和追踪胸腔X线片,监测肺部变化情况,待体况纠正后,若动物胸部情况出现恶化再给予利尿剂,同时也要注意利尿剂的使用剂量也不是固定的,如果动物胸腔状况良好,则就需要逐渐减少利尿剂剂量,因为利尿剂会通过降低心输出量和肾脏血流量导致肾前性氮质血症,那我们的目标就是找到合适的利尿剂使用剂量,在不引起肾功能指标明显升高的同时,又能控制心衰的症状。另外,在降低剂量过程中,一定要告知动物主人在家监测动物每日静息呼吸频率和呼吸运作,来识别心衰复查的症状(呼吸频率增加以及呼吸费力)。
当动物长期经过利尿剂如呋塞米进行治疗后,当用药剂量达到6 ~ 8mg/kg时,利尿效果仍不好,则要考虑存在利尿剂抵抗的可能,这时候也可以选择“新型”袢利尿剂—托拉塞米,托拉塞米利尿效果要明显优于呋塞米,同时它对心肌有抗纤维作用,而且作用时间长约12小时,要长于呋塞米作用时间6小时左右,不过肾毒性也较呋塞米更大,所以在该病例中最开始使用托拉塞米,而2周后复查发现肾指标升高明显,从这个角度来说不确定是不是个最优选择。
关于匹莫苯丹在猫肥厚性心肌病上的使用,目前还是存在争议,因为HCM往往心肌收缩力是亢进的,主要表现为舒张功能不全,不过达成共识的一点是,当动物存在左心流出道梗阻引起的“SAM”征时,需要慎用。目前也有资料表明匹莫苯丹可以改善猫左心房功能,它可以增加心输出量,达到改善肾血流量的效果,所以患有心衰症状的HCM的猫咪,匹莫苯丹也是非常好的可选药物之一。另外,本病例中在住院期间及出院2周内并未使用ACEI,理论上来说,当动物出现心肾综合征时,RAAS系统会被激活,这进一步增加了心脏负担,不过ACEI因为会扩张肾小球出球小动脉,使得肾小球滤过率下降,所以在刚开始使用ACEI时,也会出现短暂性氮质血症加重,当时并未给予ACEI,主要是基于这个角度的考虑,不过从长远来看,如果动物氮质血症没有明显恶化,使用ACEI是有益的,它可以通过减少全身血管阻力,来改善心输出量和肾血流量,后期也会根据动物复查情况决定是否需要添加。
参考文献 略
注:本文版权归"宠物医师网"所有。欢迎个人转发分享,其他任何媒体、网站如需转载或引用本网版权所有内容,须联系本站获得授权,且在醒目处注明 "转自宠物医师网"。
相关知识
一例猫慢性心肾综合征的病例总结与分析
一例犬二尖瓣退变致左心衰病例的诊治体会
一例犬睑腺炎的病例诊治报告
一例犬库兴氏综合症病例诊断
猫主动脉血栓栓塞症的处置流程
一例猫中枢神经疾病的中医治疗
一例犬蛋白尿的病例报告
原创 宠爱国际猫科&心肾科医生李谦荣获「ISVPS心脏病学专科医生认证」
一例萨摩耶犬房颤的诊疗报告
猫胆管炎/胆管肝炎综合征,我们的认知?
网址: 回顾丨一例猫心肾综合征病例分析 https://m.mcbbbk.com/newsview68098.html
| 上一篇: 宠物过敏越来越多,该如何摆脱困扰 |
下一篇: 原创 猫 |